Table of Contents    
Case Report
 
Multifocal angiosarcoma of the stomach and jejunum: A case report
Maher Al Khaldi1, Anne-Marie Dufresne1, DesGroseilliers S.1
1General Surgeon, General Surgery Department, Pierre-Boucher Hospital, Longueuil, Quebec, Canada.

Article ID: 100022Z12MK2016
doi:10.5348/Z12-2016-22-CR-14

Address correspondence to:
Maher Al Khaldi
2830 Goyer, apartment 112, Montreal
Quebec
Canada, H3S1H4

Access full text article on other devices

  Access PDF of article on other devices

[HTML Abstract]   [PDF Full Text] [Print This Article]
[Similar article in Pumed] [Similar article in Google Scholar]

How to cite this article:
Al Khaldi M, Anne-Marie D, DesGroseilliers S. Multifocal angiosarcoma of the stomach and jejunum: A case report. J Case Rep Images Surg 2016;2:50–56.


Abstract
Introduction: Gastrointestinal angiosarcoma is a very rare soft-tissue malignancy with a poor prognosis. There are only seven cases of angiosarcoma to have ever involved the stomach in the actual literature.
Case Report: This report describes a unique case of a multifocal angiosarcoma of the stomach and jejunum in a 79-year-old female who displayed non-specific symptoms of abdominal pain, postprandial heaviness and lower left quadrant pain. A computed-tomography scan revealed an ulcerated lesion in the stomach. Upon surgical exploration, two primary lesions were found in the stomach and two similar lesions in the jejunum. After surgical resection of the involved parts, the diagnosis of primary angiosarcoma was made by pathological and immunohistochemical examination. A favorable two month postoperative follow-up was noted.
Conclusion: This is the first documented case in the English literature of four simultaneous primary angiosarcoma lesions involving the stomach and the small intestine. Given its rare nature, patients with angiosarcoma could be misdiagnosed. Standard treatment is surgery. However, more studies are needed to establish the role of adjuvant chemotherapy and radiotherapy in the treatment of angiosarcoma.

Keywords: Angiosarcoma, Epigastric discomfort, Jejunum, Stomach


Introduction

Angiosarcoma is a rare, malignant neoplasm. It can occur in any part of the body, more commonly in the skin and soft tissues, and less commonly in the breast, bone, liver and spleen [1]. Primary angiosarcoma of the gastrointestinal tract is even more rare, especially in the stomach. This is a case of a multifocal angiosarcoma of the stomach and jejunum.


Case Report

This is the case of a 79-year-old female who complained of epigastric discomfort with postprandial heaviness. She also described lower left quadrant pain and discomfort. She had no history of hematemesis, hematochezia or melena. Past medical history included breast epithelioma diagnosed at the age of 68 and collagenous colitis. Past surgical history included unilateral partial mastectomy with axillary clearance followed by adjuvant radiotherapy completed at the age of 68, bilateral total hip replacements and abdominal aortic aneurysm repair.

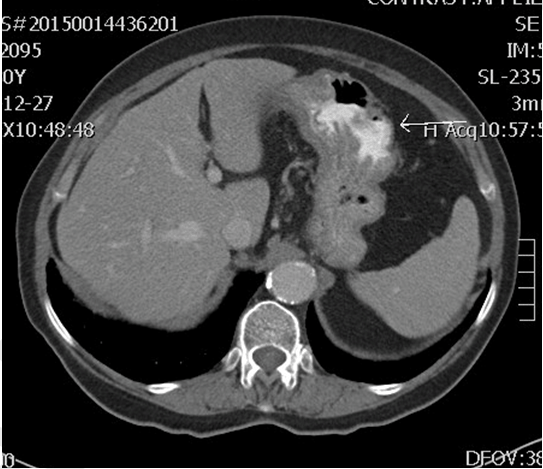
Upon initial investigation by the patient's general practitioner, a barium swallow revealed a 5x4 cm gastric lesion with irregular contour located at the junction between the proximal third and the middle of the stomach. An upper gastrointestinal endoscopy was further performed and revealed two distinct, raised, ulcerated lesions in the stomach. A contrast-enhanced thoracic-abdominal-pelvic computed tomography (CT) scan was performed to rule out metastases. The CT scan revealed no signs of metastases (Figure 1).

Biopsies obtained during endoscopy showed ulcerated gastric mucosa with fibrinous and leukocytic exudate at the surface of the lesions and a poorly differentiated malignant infiltration at deeper layers. Malignant cells with fusiform to epithelial shapes were found around the ulcer. A few foci revealed irregularly-shaped, anastomosing vascular structures lined with hyper-chromatic cells.

An extensive immunohistochemical study was performed with the following antisera: cytokeratin 20, cytokeratin 17, cytokeratin AE1/AE3, CD3, CD20, CD30, Ki67, vimentin, Melan-A, CD117, CD79A, LCA, cytokeratin 5/6, EMA, GATA3, S100 protein, synaptophysin, SMA, calretinin, CD31, CD138 and CEA. The cells stained positive only for CD31, vimentin and, to a lesser extent, CD34. The expression of the cellular marker for proliferation, Ki67, was close to 100%. All lymphocyte surface markers remained negative, including the human leukocyte common antigen (LCA), which eliminated the possibility of a lymphoproliferative process. All epithelial and melanocytic markers were negative. Given that that the patient had previously been diagnosed with breast cancer, and considering the possibility of an infiltrating metastasis originating from a breast carcinoma, immunohistochemical evaluation of GATA3 expression was performed but was negative. Having ruled out the possibility of a mesothelioma or a leiomyosarcoma with a negative staining for calretinin and SMA respectively, the most probable diagnosis was a high-grade angiosarcoma of the stomach.

During surgical exploration (Figure 2), many lymph nodes were noted in the mesentery of the proximal jejunum. Two gastric lesions were found in the body of the stomach (Figure 3). In addition, the involved segment of jejunum was resected and two lesions were found, very similar in appearance to the ones in the stomach. A subtotal gastrectomy with Roux-en-Y anastomosis was performed following the segmental jejunal resection. The margins of resection were 5 cm, as recommended for a gastric adenocarcinoma. Finally, immediate post-operative course was favorable and the patient has been well 2 months after operation. Close follow-up of the patient is still undergoing.


Cursor on image to zoom/Click text to open image
Figure 1: Contrast-enhanced axial computed tomography of the abdomen revealing a cavitary lesion in the stomach filled with contrast (arrow).



Cursor on image to zoom/Click text to open image
Figure 2: Intraoperative presentation of one of the ulcerated lesions of the stomach.



Cursor on image to zoom/Click text to open image
Figure 3: Longitudinally lanced stomach demonstrating two irregularly-shaped submucosal lesions similar in appearance located at the body.



Discussion

Angiosarcoma is a very rare, malignant neoplasm that is characterized by invasive anaplastic cells derived from blood vessels [2]. It accounts for less than 1% of soft tissue sarcomas. They may occur in many regions of the body, most frequently in the skin and soft tissues, and very rarely in the gastrointestinal tract [3]. Its aggressive characteristics and rarity make it an often misdiagnosed malignancy. Prognosis is usually poor and the mortality rate is high, partly due to a late diagnosis [4].

There have been only seven published cases of angiosarcoma with gastric involvement, four of which involved primary lesions (Table 1) [5] [6] [7][8][9][10]. Five patients were men and two were women. Their ages ranged from 21–86 years with a median of 55 years. Three cases were multifocal (involving the stomach and the small intestine), three cases involved a single, isolated gastric angiosarcoma and one case involved three angiosarcomas of gastric origin. Clinical manifestations included abdominal pain, nausea, vomiting and melena. One patient however was asymptomatic. Surgical resection was the most common treatment. The outcome was generally poor. Four patients died several months after diagnosis or treatment. No information was gathered regarding the longest survival period.

Angiosarcoma tends to be multicentric in occurrence [1], it is sometimes difficult to distinguish between multicentricity and metastasis because of its aggressive nature,. What makes this case unique is the simultaneous presence of multicentric and multifocal primary lesions rather than metastases.

The carcinogenic mechanism of angiosarcoma remains unclear. However, several risk factors associated with skin and soft tissue angiosarcomas have been documented in the past, including toxic exposure to environmental carcinogens, radiation therapy, chronic lymphedema, foreign materials and certain familial syndromes such as neurofibromatosis and BRCA1/BRCA2 mutations [2]. However, no risk factors associated to gastric angiosarcomas have been documented, with the exception of a possible association with long-term hemodialysis [1]. In the present case, the patient underwent post-mastectomy therapeutic irradiation. However, radiation-induced angiosarcomas usually occur in areas of previous radiation. Indeed, the most common sites for sarcomas in previously irradiated patients are the female breasts, followed by female genital organs [11]. Several documented cases of intestinal angiosarcoma have occurred following radiation therapy of gynaecological malignancies [1]. However, no cases ever mentioned a link between breast irradiation and angiosarcoma of gastric and intestinal involvement.

Symptoms associated with gastrointestinal angiosarcoma are non-specific. As documented in previous case reports (Table 1), symptoms could include vague abdominal pain, nausea, post-prandial heaviness or melena. Gastrointestinal bleeding and anemia are usually associated with advanced disease [12].

Angiosarcoma tends to be poorly differentiated. Thus, immunohistochemical staining is a very important step in confirming the diagnosis. In this case, positive staining for CD31, CD34 and vimentin helped confirm the vascular origin of the lesions. Similar staining has been confirmed in previous case reports. Staining for factor VIII-related antigen could also be positive in angiosarcoma as reported in several previous cases [1][7][8]. In one case of an isolated gastric angiosarcoma lesion, cytokeratin (AE1/AE3) expression was present [9].

Histological evidence in previous cases demonstrated angiosarcomas epithelioid in morphology. In fact, angiosarcomas of deep soft tissues tend to be epithelioid in morphology. On the contrary, lesions in the skin and subcutaneous tissues are mostly nonepithelioid [12].

Treatment of gastric angiosarcoma consists of surgical resection. Chemotherapy and radiation therapy have been used in several cases of gastrointestinal angiosarcoma [4]. However, the role of adjuvant therapy remains unclear.

Patients diagnosed with angiosarcoma with gastrointestinal involvement usually have poor prognoses. Metastases to lymph nodes and other organs are not uncommon and even expected given the aggressive nature of angiosarcomas. Indeed, many cases progress rapidly with a median survival of only two months after diagnosis[13].


Cursor on image to zoom/Click text to open image
Table 1: Cases of primary angiosarcoma involving the stomach reported in English literature.




Conclusion

In conclusion, a few cases of angiosarcomas with gastric involvement have ever been reported in English literature. Although gastrointestinal angiosarcoma remains rare, it is important to consider it as a rare differential diagnosis in patients complaining of vague gastrointestinal symptoms and when dealing with previously irradiated patients. The mainstay of treatment is surgery. Further studies are needed to clarify the role of adjuvant radiation therapy and chemotherapy in the treatment of gastrointestinal angiosarcoma given its very aggressive nature.


Acknowledgements

We are thankful to Mr. Majd Al Khaldi. Dr. Pierre Bergeron and Dr. Luc Larivière for contributing in the preparation of this article.


References
  1. Usuda H, Naito M. Multicentric angiosarcoma of the gastrointestinal tract. Pathol Int 1997 Aug;47(8):553–6.   [CrossRef]   [Pubmed]    Back to citation no. 1
  2. Ni Q, Shang D, Peng H, et al. Primary angiosarcoma of the small intestine with metastasis to the liver: a case report and review of the literature. World J Surg Oncol 2013 Sep 25;11:242.   [CrossRef]   [Pubmed]    Back to citation no. 2
  3. Brown CJ, Falck VG, MacLean A. Angiosarcoma of the colon and rectum: report of a case and review of the literature. Dis Colon Rectum 2004 Dec;47(12):2202–7.   [CrossRef]   [Pubmed]    Back to citation no. 3
  4. Zacarias Föhrding L, Macher A, Braunstein S, Knoefel WT, Topp SA. Small intestine bleeding due to multifocal angiosarcoma. World J Gastroenterol 2012 Nov 28;18(44):6494–500.   [CrossRef]   [Pubmed]    Back to citation no. 4
  5. Taxy JB, Battifora H. Angiosarcoma of the gastrointestinal tract. A report of three cases. Cancer 1988 Jul 1;62(1):210–6.   [Pubmed]    Back to citation no. 5
  6. Tai CM, Hung CM, Lee TC, Chang HC, Wang HP. Primary gastric angiosarcoma presenting as an asymptomatic gastric submucosal tumor. J Formos Med Assoc 2007 Nov;106(11):961–4.   [Pubmed]    Back to citation no. 6
  7. Seki K, Inui Y, Kariya Y, et al. A case of malignant hemangioendothelioma of the stomach. Endoscopy 1985 Mar;17(2):78–80.   [CrossRef]   [Pubmed]    Back to citation no. 7
  8. Robinson E, Neugut AI, Wylie P. Clinical aspects of postirradiation sarcomas. J Natl Cancer Inst 1988 Apr 20;80(4):233–40.   [Pubmed]    Back to citation no. 8
  9. Al Ali J, Ko HH, Owen D, Steinbrecher UP. Epithelioid angiosarcoma of the small bowel. Gastrointest Endosc 2006 Dec;64(6):1018–21.   [CrossRef]   [Pubmed]    Back to citation no. 9
  10. Allison KH, Yoder BJ, Bronner MP, Goldblum JR, Rubin BP. Angiosarcoma involving the gastrointestinal tract: a series of primary and metastatic cases. Am J Surg Pathol 2004 Mar;28(3):298–307.    Back to citation no. 10
  11. Vrind HM, Becker AE. Multiple malignant (haem) angioendotheliomas of the stomach and small intestine. Arch Chir Neerl 1970;22(1):15–23.   [CrossRef]   [Pubmed]    Back to citation no. 11
  12. Amy C, Lazure T, Sales JP, et al. Gastric epithelioid angiosarcoma, a biopsy diagnostic pitfall. [Article in French]. Ann Pathol 2001 Oct;21(5):439–41.   [CrossRef]   [Pubmed]    Back to citation no. 12
  13. Park K, Lim S, Kim J, Yuh YJ, Kim SR, Kim HY. Multifocal Epithelioid Angiosarcoma of the Stomach: A Case Report. Korean J Pathol 2003;37(6):435–7.   [CrossRef]   [Pubmed]    Back to citation no. 13

[HTML Abstract]   [PDF Full Text]

Author Contributions
Maher Al Khaldi – Substantial contributions to conception and design, Acquisition of data, Analysis and interpretation of data, Drafting the article, Revising it critically for important intellectual content, Final approval of the version to be published
Anne-Marie Dufresne – Substantial contributions to conception and design, Drafting the article, Revising it critically for important intellectual content, Final approval of the version to be published
DesGroseilliers S. – Substantial contributions to conception and design, Drafting the article, Revising it critically for important intellectual content, Final approval of the version to be published
Guarantor of submission
The corresponding author is the guarantor of submission.
Source of support
None
Conflict of interest
Authors declare no conflict of interest.
Copyright
© 2016 Maher Al Khaldi et al. This article is distributed under the terms of Creative Commons Attribution License which permits unrestricted use, distribution and reproduction in any medium provided the original author(s) and original publisher are properly credited. Please see the copyright policy on the journal website for more information.