Table of Contents    
Case Report
 
Fat-forming variant of solitary fibrous tumor found in falciform ligament: A case report
Marilla Jane Dickfos1,2, Lisa Squires3
1MBBS BAppSci (Hons) General Surgery Principal House Officer, Department of General Surgery, The Prince Charles Hospital, Brisbane, Queensland, Australia.
2School of Medicine, the University of Queensland, Brisbane, Queensland, Australia.
3MBBS BAgrSc (Hons), Registrar, Department of Pathology, The Prince Charles Hospital, Brisbane, Queensland, Australia.

Article ID: 100025Z12MD2016
doi:10.5348/Z12-2016-25-CR-17

Address correspondence to:
Dr. Marilla Dickfos
The Prince Charles Hospital, 627 Rode Road
Chermside, Brisbane
Queensland
Australia

Access full text article on other devices

  Access PDF of article on other devices

[HTML Abstract]   [PDF Full Text] [Print This Article]
[Similar article in Pumed] [Similar article in Google Scholar]

How to cite this article:
Dickfos MJ, Squires L. Fat-forming variant of solitary fibrous tumor found in falciform ligament: A case report. J Case Rep Images Surg 2016;2:63–66.


Abstract
Introduction: The lipomatous variant of solitary fibrous tumor (SFT) is rare. Only six have been reported within the abdominopelvic region and this is the first reported within the falciform ligament.
Case Report: A 41-year- old male presented with cramping epigastric pain and reflux. On examination an epigastric mass was palpable. He was investigated with a full blood count, liver and kidney function tests and electrolytes; which were all within normal limits. An ultrasound scan documented a mass just below his xiphisternum, beneath his linear alba, 61x48x31 mm in size, causing mild compression of the liver. This mass was further investigated with a computed tomography scan which confirmed a mass just below his xiphisternum. The lesion appeared vascular and differential diagnoses on imaging included a vascular malformation, hemangioma or vascular neoplasm. Intraoperatively a hard mass was excised from the distal portion of the falciform ligament. Histopathology of the lesion showed a circumscribed spindle cell neoplasm containing a significant amount of mature adipose tissue. The morphology and immunoprofile were consistent with a SFT (lipomatous variant).
Conclusion: This case report describes a lipomatous variant of SFT in a previously undescribed location. These rare tumors can be difficult to diagnose and STAT6 immunoreactivity can be vital.

Keywords: Solitary fibrous tumor, Lipomatous variant, Falciform ligament


Introduction

Solitary fibrous tumors are rare spindle-cell, mesenchymal tumors, which classically present as a well-circumscribed, pleural-based slow-growing masses arising from soft tissue of which there are a few variants; cellular (hemangiopericytomas), lipomatous and malignant. The lipomatous variant of solitary fibrous tumor is rare, with only approximately sixty cases reported in the English literature to date. They have a slight male predilection and occur most commonly in the fourth to fifth decade [1]. They are most common in the retroperitoneum and deep soft tissue of the lower extremity. Only six have been reported within the abdominopelvic region and this is the first report in the English literature of one located within the falciform ligament [2].


Case Report

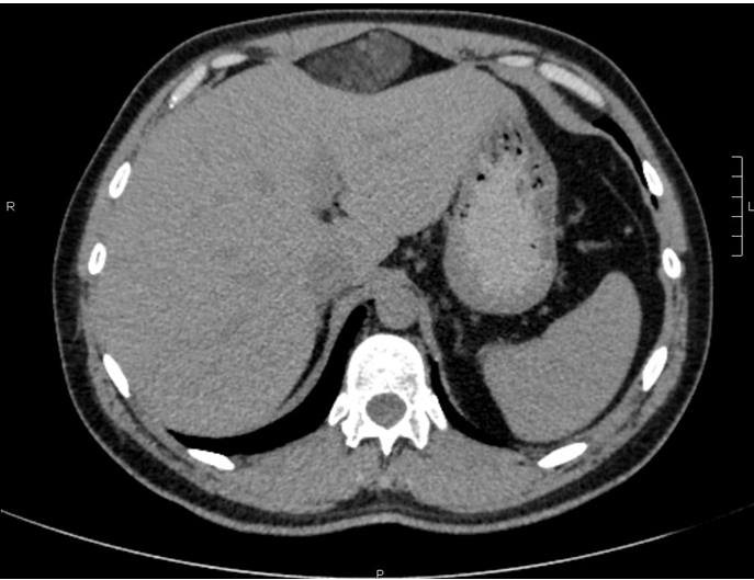
A 41-year-old male was referred to general surgery clinic with cramping epigastric pain associated with waking with an acid-like taste in his mouth. On examination, there was a palpable, hard round mass in his epigastrium. He was investigated with a full blood count, liver and kidney function tests and electrolytes; which were all within normal limits. An ultrasound scan documented a mass just below his xiphisternum, beneath his linear alba, 61x48x31 mm in size, causing mild compression of the liver. This mass was further investigated with a computed tomography scan which demonstrated a lesion reported as vascular in nature with differentials including a vascular malformation, hemangioma or vascular neoplasm (Figure 1).

Intraoperatively a hard mass was identified, just below the xiphisternum, surrounded by the distal portion of the falciform ligament and completely within the peritoneal cavity. The lesion was completely excised macroscopically. The patient recovered well from the surgery and was discharged on postoperative day three (Figure 2). The patient's symptoms were most likely from gastroesophageal reflux and dysmotility of the distal esophagus found on barium swallow, as well as chronic inflammation of his esophagus and stomach, found on upper endoscopy.

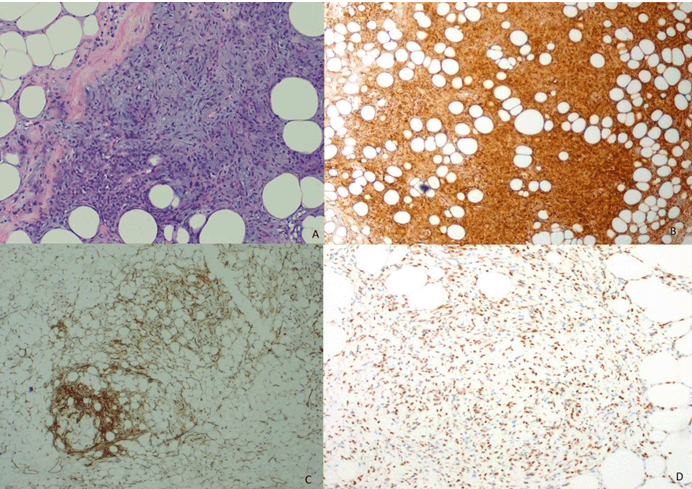
Histological examination showed a circumscribed, lobulated spindle cell neoplasm containing a significant amount of mature adipose tissue (Figure 3A). The spindle cells were cytologically bland and intimately admixed with the adipose tissue. The fat component exhibited atypical features and mild variability in adipocyte size, but no true lipoblasts were identified. The mitotic rate was no more than 2 per 10 high power fields (approximately 2.5 mm2). The lesion abutted the peripheral margins in multiple areas.

Both the spindle cells and fat stained for S100 (Figure 3B). The spindle cells exhibited patchy staining for CD34 but were negative for SMA, desmin, CD117 and DOG1. FISH for MDM2 amplification and DDIT3 rearrangement were both negative, essentially excluding well-differentiated and myxoid liposarcoma (Figure 3C). Further immunoperoxidase staining revealed cytoplasmic staining for bcl-2 and CD99 and nuclear staining for STAT6 within the spindle cells (Figure 3D). The morphology and immunoprofile were those of a solitary fibrous tumor (lipomatous variant). Based on these findings the patient has been recommended to have yearly ultrasounds to monitor for evidence of recurrence for the next few years.


Cursor on image to zoom/Click text to open image
Figure 1: Computer tomography scan, axial view of mass compressing anterior liver.



Cursor on image to zoom/Click text to open image
Figure 2: Gross specimen showing cut surface of mass and associated falciform ligament.



Cursor on image to zoom/Click text to open image
Figure 3: (A) Hematoxylin and eosin stain of specimen (magnification x100), (B) Specimen with S100 stain (magnification x100), (C) Specimen with CD34 stain (magnification x40), and (D) Specimen with STAT6 stain (magnification x100).



Discussion

The lipomatous variant of solitary fibrous tumors (SFTs) is rare, with only approximately sixty cases reported in the English literature to date. They are also known as lipomatous hemangiopericytomas (LHPC) after Gengler and Guillou [3] (2006) demonstrated that fat-forming variants of solitary fibrous tumors and LHPC exhibit the same clinical, pathological, immunohistochemical and ultrastructural features of solitary fibrous tumors except for the additional fat component. They have a slight male predilection and are found mostly in the fourth to fifth decade [2]. They are most common in the retroperitoneum and deep soft tissue of the lower extremity. They have been reported in various other areas but only six in the abdominopelvic region and this is the first report in the English literature of one located within the falciform ligament [1].

Macroscopically they appear as a well-circumscribed, non-encapsulated masses with areas of white and yellow tissue in their cut surface. Radiologically they are well-defined hypervascular masses with variable amounts of adipose tissue. They also exhibit iso-attenuation relative to adjacent muscles on precontrast CT scan and intense enhancement following intravenous contrast injection [4].

Histologically, they are characterized by prominent cellular areas of round to spindle-shaped cells around hemangiopericytomatous vasculature with mature adipocytes in the tumor. They can be confused with liposarcoma, spindle cell lipoma and angiomyolipoma, especially with small biopsies and thus immunohistochemical staining is important. Immunohistochemistry of these tumors typically shows consistent positivity for CD99, less frequently CD34 (75%) and Bcl-2 (60%); as in this case [5]. Other positive stains that are commonly found are type IV collagen, factor XIIIa, smooth muscle actin, vimentin and S100. They are negative for CD117 and PDGFRA (found in gastrointestinal stromal tumors).

Molecular analyses have discovered that almost all solitary fibrous tumors (including the lipomatous variant) harbor an NAB2-STAT6 fusion gene, specific to this tumor type. Immunohistochemistry for STAT6 has been shown to be a reliable surrogate for detection of the fusion gene and therefore nuclear STAT6 immunoreactivity is a highly sensitive and specific marker of SFTs [6].

They have been shown to follow an indolent course with a low rate of local recurrence and a low metastatic potential. As malignancy is a rare occurrence in an already rare tumor, there has been no validation of criteria for malignancy in this tumor subset. However, Lee et al. describes a series of fourteen fat-forming SFTs which demonstrate histological features consistent with malignancy in other SFT types [7]. These features included focal hypercellularity increased cellularity, pleomorphism, mitoses >4/10 high power field (HPF), hemorrhage and necrosis. In addition, it was noted that the malignant fat-forming SFTs commonly also contained lipoblasts and /or atypical lipomatous tumor (ALT)-like areas.

It has been suggested that these features may complicate the diagnosis with possible differentials such as liposarcoma and de-differentiated liposarcoma. ALT-like areas were noted in this case and this further demonstrates the use of the STAT6 immunoreactivity to correctly identify the tumor type in the setting of complex diagnostic features. Due to the rarity of cases, guidelines are sparse but it has been suggested that malignant fat-forming solitary fibrous tumors will be comparable in frequency, natural history and clinicopathological features to conventional malignant SFTs. Thus currently, the treatment and follow-up for such cases should be as it is for conventional malignant SFTs.


Conclusion

This case represents an additional report of a rare lesion and increases the spectrum of sites in which these lesions are known to arise. It also demonstrates the utilization of STAT6 immunohistochemistry to overcome diagnostic uncertainty. The atypical lipomatous areas adds to the literature on malignant potential for these tumors and it is recommended that further research be conducted on the natural history of such tumors to determine clinical guidelines for their management.


References
  1. Esquenazi Y, Shank C, Tandon N, Bhattacharjee M. Lipomatous hemangiopericytoma of the sellar region: case report and review of the literature. Ann Clin Lab Sci 2014 Winter;44(1):104–8.   [Pubmed]    Back to citation no. 1
  2. Jing HB, Meng QD, Tai YH. Lipomatous hemangiopericytoma of the stomach: a case report and a review of literature. World J Gastroenterol 2011 Nov 21;17(43):4835–8.   [CrossRef]   [Pubmed]    Back to citation no. 2
  3. Gengler C, Guillou L. Solitary fibrous tumour and haemangiopericytoma: evolution of a concept. Histopathology 2006 Jan;48(1):63–74.   [CrossRef]   [Pubmed]    Back to citation no. 3
  4. Kim MY, Rha SE, Oh SN, et al. Lipomatous haemangiopericytoma (fat-forming solitary fibrous tumour) involving the perineum: CT and MRI findings and pathological correlation. Br J Radiol 2009 Feb;82(974):e23–6.   [CrossRef]   [Pubmed]    Back to citation no. 4
  5. Guillou L, Fletcher JA, Fletcher CDM and Mandahl N. Extrapleural solitary fibrous tumour and haemangiopericytoma. In: Fletcher CDM, Unni KK, Mertens F eds. Pathology and genetics of tumours of soft tissue and bone. Lyon: IARC Press; 2002. p. 86–90.    Back to citation no. 5
  6. Yoshida A, Tsuta K, Ohno M, et al. STAT6 immunohistochemistry is helpful in the diagnosis of solitary fibrous tumors. Am J Surg Pathol 2014 Apr;38(4):552–9.   [CrossRef]   [Pubmed]    Back to citation no. 6
  7. Lee JC, Fletcher CD. Malignant fat-forming solitary fibrous tumor (so-called "lipomatous hemangiopericytoma"): clinicopathologic analysis of 14 cases. Am J Surg Pathol 2011 Aug;35(8):1177–85.   [CrossRef]   [Pubmed]    Back to citation no. 7

[HTML Abstract]   [PDF Full Text]

Author Contributions
Marilla Dickfos – Substantial contributions to concept and design, Analysis and interpretation of data, Drafting the article, Final approval of the version to be published
Lisa Squires – Substantial contributions to concept and design, Analysis and interpretation of data, Drafting the article, Final approval of the version to be published
Guarantor of submission
The corresponding author is the guarantor of submission.
Source of support
None
Conflict of interest
Authors declare no conflict of interest.
Copyright
© 2016 Marilla Dickfos et al. This article is distributed under the terms of Creative Commons Attribution License which permits unrestricted use, distribution and reproduction in any medium provided the original author(s) and original publisher are properly credited. Please see the copyright policy on the journal website for more information.