Case Report
 
Massive splenic artery aneurysm with aneurysmal dilatation of the portal vein and splenic infarct
Samrat Ray1, Amitabh Yadav1, Samiran Nundy1
1Department of Surgical Gastroenterology and Liver Transplantation, Sir Ganga Ram Hospital, Rajinder Nagar, New Delhi.

Article ID: 100036Z12SR2017
doi:10.5348/Z12-2017-36-CR-1

Address correspondence to:
Samrat Ray
Department of Surgical Gastroenterology and Liver transplantation
Room no 1474, 4th floor, Sir Ganga Ram Hospital
Rajinder Nagar, New Delhi 110060
India

Access full text article on other devices

  Access PDF of article on other devices

[HTML Abstract]   [PDF Full Text] [Print This Article]
[Similar article in Pumed] [Similar article in Google Scholar]

How to cite this article:
Ray S, Yadav A, Nundy S. Massive splenic artery aneurysm with aneurysmal dilatation of the portal vein and splenic infarct. J Case Rep Images Surg 2017;3:1–5.


Abstract
Introduction: Aneurysms of the splenic artery are rare but potentially life-threatening problems and the risk of complications increases manifold with their increase in size. The portal vein aneurysms are even rarer with as few as only 200 cases being reported in the surgical literature. The presence of both aneurysms in the same patient has not been previously described. Such cases present a therapeutic challenge.
Case Report: A 56-year-old apparently healthy male presented with vague upper abdominal discomfort with fever, headache and a palpable spleen. Evaluation by triple phase computed tomography of the abdomen revealed a large 9×8 cm sized aneurysm in the distal third of the splenic artery with an aneurysmal dilatation of the portal vein about 48 mm at the porta hepatis, splenomegaly with a splenic infarct and multiple gallstones. Laparotomy with distal pancreatosplenectomy, excision of the aneurysm and cholecystectomy were done. Gross evaluation of the specimen revealed a 10 cm aneurysm of the distal splenic artery containing organised thrombus within an infarct at the lower pole of the spleen.
Conclusion: Presentation of a massive splenic artery aneurysm in association with a portal vein aneurysm is an exceedingly rare clinical phenomenon. Most portal vein aneurysms being asymptomatic may be left alone and followed up periodically. We describe an extremely rare association of coexistent aneurysms of the splenic artery and portal vein which was managed by distal pancreatectomy and splenectomy.

Keywords: Aneurysm, Portal vein aneurysm, Splenic artery aneurysms



Introduction

Aneurysms of the visceral arteries are rare but potentially life-threatening. The splenic artery accounts for the majority of splanchnic artery aneurysms, comprising 60–70% of the total cases detected [1]. Splenic artery aneurysms (SAA) also represent the third most common site of intra-abdominal aneurysms, preceded by aorta and the iliac arteries [2]. Rupture of the aneurysm constitutes the major risk and size is the most important determinant to predict the likelihood of rupture [3]. Splenic artery aneurysms rarely exceed 3 cm in diameter [4]. Table 1 gives an overview of the giant splenic artery aneurysms (>10 cm) reported so far by several authors [4] [5] [6] [7][8][9]. A rare but fatal mode of presentation of SAAs is in the form of spontaneous rupture, reported in 2–10% of the cases. The risk of rupture in giant aneurysms is reported to be around 28%, with an attendant mortality of around 40% [3].

The earliest description of portal vein aneurysm (PVA) in the surgical literature dates back to 1956, with the earliest description of this disease entity by Barzilai and Kleckner in a 21-year-old white female presenting with massive gastrointestinal bleeding. Since then, there have been more than 200 cases described so far in the surgical literature from all over the world. Portal vein aneurysm is defined as abnormal aneurysmal dilatation of the vein (>1.9 cm in cirrhotic livers and >1.5 cm in non-cirrhotic livers) [10]. The incidence of portal vein aneurysm is only about 0.06% [11]. The association of incidentally detected PVA in a patient with a massive SAA makes an exceedingly rare clinical scenario and to our knowledge, has not been described so far.

We present a case of a middle aged healthy man with a giant splenic artery aneurysm associated with an aneurysmal dilatation of the portal vein and splenic infarct.


Cursor on image to zoom/Click text to open image
Table 1: Giant splenic artery aneurysms (>10 cm) reported by several authors




Case Report

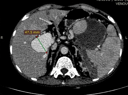
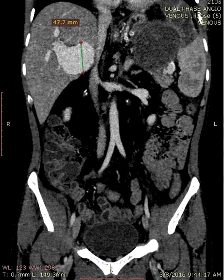
A 56-year-old male with no known medical comorbidity presented with complaints of vague upper abdominal discomfort associated with nonspecific left sided headache for one month and fever on and off for 15 days. On examination, he was conscious, comfortable and cooperative with a blood pressure of 130/70 mmHg and a pulse rate of 84/min. On abdominal examination, there was fullness in the epigastrium with tip of the spleen palpable below the left costal margin. Computed tomography angiography of the abdomen revealed a large heterogeneous mass near the splenic hilum measuring around 9×8.3 cm in the axial plane and approximately 8.6 cm in its craniocaudal extent in relation to the tail of pancreas bulging into the lesser sac and abutting the greater curvature of stomach with faint contrast uptake along the periphery with another large hyperdense mass within, consistent with a large splenic artery aneurysm containing a thrombus (Figure 1). On the arterial phase scan, there was minimal enhancement within this lesion. The spleen was enlarged with an infarct in its lower pole. The liver was grossly normal with no nodularity. There was an aneurysmal dilatation of the portal vein at the porta hepatis, measuring 47.7 mm in the largest diameter (Figure 2).

The patient underwent laparotomy with a distal pancreatosplenectomy with resection of the splenic artery aneurysm with cholecystectomy. There was a large pulsatile lesion measuring approximately 10×9 cm along its largest dimensions compressing the distal pancreas posteriorly and a part of the greater curvature of the stomach anterosuperiorly (Figure 3). The portal vein was dilated, measuring 4×3.5 cm. The pulsatile lesion was controlled by identifying the splenic artery and placing a vascular clamp across it. The splenic artery and vein were ligated, transfixed and divided and the specimen was removed. Cholecystectomy was also done.

The gross specimen showed a 10×9.5 cm large aneurysmal sac adherent to the splenic hilum with a large clot present within (Figure 4). The spleen was engorged with an infarct localised to the lower pole. Microscopic analysis revealed marked intimal thickening of the splenic artery with fibrosis and focal calcification of the aneurysm wall.

The postoperative course was uneventful and the patient was discharged in stable condition on day-7 following surgery.


Cursor on image to zoom/Click text to open image
Figure 1: Computed tomography angiography image showing the splenic artery aneurysm with an organized clot within and the portal vein aneurysm (47.7 mm) on the transverse section.



Cursor on image to zoom/Click text to open image
Figure 2: Computed tomography angiography (coronal section) image showing minimal enhancement of the splenic artery aneurysm on the arterial phase with minimal portal venous phase enhancement; Portal vein aneurysm enhancing well on the venous phase.



Cursor on image to zoom/Click text to open image
Figure 3: Approach to the aneurysm, lesser sac opened, showing the pulsatile bluish round structure displacing the stomach and the distal pancreas.



Cursor on image to zoom/Click text to open image
Figure 4: Gross specimen of aneurysmectomy with distal pancreas and the spleen. Maximum dimension of the aneurysm measured; approximately 10 cm.



Discussion

The prevalence of true splenic artery aneurysms has been estimated to be around 0.1% [3]. The majority of these aneurysms are detected incidentally and in a series from the Mayo clinic, 90% of the patients were asymptomatic at the time of presentation [12] . The symptoms of SAAs are variable, the most common being upper abdominal pain, similar to that in the present case. A catastrophic complication is spontaneous rupture; the incidence of which increases with pregnancy, size >2 cm, the presence of portal hypertension and previous portacaval shunt operations or liver transplantation [13].

The usual location of the aneurysm is in the middle or distal third of the splenic artery, close to its bifurcation [3]. Secondary calcification of the aneurysm or formation of embolus causing a block in the distal splenic microcirculation may be the presumed causes of development of splenic infarcts. In the present case also, the spleen was found to contain an evolving infarct in its lower pole.

Another interesting finding in this case was the incidental discovery of a portal vein aneurysm (4.7 cm) in addition to the splenic artery aneurysm. The congenital variant is hypothesized to be a result of an incomplete regression of the right primitive distal vitelline vein [14]. The acquired variant most commonly may be secondary to portal hypertension. The usual location of these aneurysms is in the main trunk of the portal vein or near the bifurcation. In this case, it was located at the porta hepatis. In a systematic literature search by Laurenzi et al. [10], there were 96 reports identified from 1956 to 2014, which included 190 patients with portal vein aneurysm. Most of the cases were discovered incidentally.

Though there are no defined guidelines for operation in splenic artery aneurysms, a size >2 cm is a definitive indication for intervention. The SAA in the present case was around 10 cm along the largest axis and hence was a definite candidate for operative management.

The treatment options available for splenic artery aneurysms can be broadly categorized as open aneurysmectomy and endovascular treatment. Lakin et al. [15], in their series of 128 consecutive patients found the endovascular approach to be associated with a superior safety profile and a good regression of size (1.5 mm) over two years period of observation. The giant SAAs pose a challenge for the operating surgeon. The preferred incision is a matter of individual choice. Long et al. [4] in their report of two giant splenic artery aneurysms found a good surgical access using the thoracoabdominal incision, thereby gaining a retroperitoneal access to the aorta and the coeliac trunk, which might otherwise be difficult due to the location of the aneurysm. In the present case, we used a Chevron's roof top incision and found a comfortable anterior access to the lesser sac for dissection and avoided the chances of postoperative chest related complications associated with the former.

Endovascular therapy for splenic artery aneurysms dates back to 1978, with the pioneer description of transcatheter embolization by Probst et al. [16]. With the advancement in the technique of intervention radiology, the success rate of these procedures approach nearly 100%. Embolization is usually performed for all SAAs except for those located near the splenic hilum, due to the high risk of splenic infarction. The procedure is associated with certain complications such as distal migration of the coil, post embolization abscess or infarct formation and rarely, rupture of the aneurysm. In SAAs with a straight course and minimal tortuosity, endovascular stent grafting is another attractive option [17]. However, less is known about the durability and the long-term patency of these grafts. They are preferred over embolization in cases where preservation of arterial access to the spleen is important, like in cases of hypersplenism or portal hypertension shunt procedures. In this case, we used a one stage open aneurysmectomy with splenectomy and distal pancreatectomy. The patient had no significant complication at the end of 30 days observation period (Clavien Dindo I/Comprehensive complication index 8.5) [18].

In the review published by Laurenzi et al., 21% of the patients underwent surgery for portal vein aneurysm and of these patients, 20% had underlying liver cirrhosis, while 10% had portal hypertension [17]. Asymptomatic PVAs can be left alone and followed-up on an OPD basis. The presence of features of portal hypertension guides the surgical approach of management. In the absence of portal hypertension, these can be managed by aneurysmectomy or aneurysmorrhaphy. In this case, the patient had no features suggestive of portal hypertension or decompensated liver functions and was therefore, managed conservatively on a follow-up basis.


Conclusion

Owing to the high morbidity and mortality associated with the complications, it is important to acquire a thorough knowledge about the detailed anatomy and the surgical techniques when dealing with splenic artery aneurysms. The risk increases manifold with increase in size of these aneurysms. Portal vein aneurysms are usually an incidental finding. The presence of massive symptomatic splenic artery aneurysm with portal vein aneurysm has not been previously described to our knowledge. The management of portal vein aneurysm in such cases is on the conservative lines if asymptomatic and static.


References
  1. Feo CF, Scanu AM, Fancellu A, Costantino S. Visceral aneurysm and vascular anomaly involving the splenic artery. Dig Dis Sci 2004 Sep;49(9):1378–80.   [Pubmed]    Back to citation no. 1
  2. Messina LM, Shanley CJ. Visceral artery aneurysms. Surg Clin North Am 1997 Apr;77(2):425–42.   [CrossRef]   [Pubmed]    Back to citation no. 2
  3. de Perrot M, Bühler L, Deléaval J, Borisch B, Mentha G, Morel P. Management of true aneurysms of the splenic artery. Am J Surg 1998 Jun;175(6):466–8.   [CrossRef]   [Pubmed]    Back to citation no. 3
  4. Long CD, Bakshi KR, Kahn MB, Roberts AB. Giant splenic artery aneurysm. Ann Vasc Surg 1993 Sep;7(5):474–8.   [CrossRef]   [Pubmed]    Back to citation no. 4
  5. Palmer TH. Aneurysms of the splenic artery. N Engl J Med 1950 Dec 21;243(25):989–93.   [CrossRef]   [Pubmed]    Back to citation no. 5
  6. Tam TN, Lai KH, Tsai YT, et al. Huge splenic artery aneurysm after portocaval shunt. J Clin Gastroenterol 1988 Oct;10(5):565–8.   [CrossRef]   [Pubmed]    Back to citation no. 6
  7. Osawa M, Masui M, Wakasugi C. Rupture of a giant splenic artery aneurysm. Report of an autopsy case. Am J Forensic Med Pathol 1991 Dec;12(4):337–9.   [CrossRef]   [Pubmed]    Back to citation no. 7
  8. Bornet P, Medjoubi SA, Tissot A, Jurado A, Hibon J, Terris C. Giant aneurysm of the splenic artery: A case report. Angiology 2000 Apr;51(4):343–7.   [Pubmed]    Back to citation no. 8
  9. Yadav S, Sharma P, Singh PK, et al. Giant splenic artery aneurysm: A rare but potentially catastrophic surgical challenge. Int J Surg Case Rep 2012;3(11):533–6.   [CrossRef]   [Pubmed]    Back to citation no. 9
  10. Laurenzi A, Ettorre GM, Lionetti R, Meniconi RL, Colasanti M, Vennarecci G. Portal vein aneurysm: What to know. Dig Liver Dis 2015 Nov;47(11):918–23.   [CrossRef]   [Pubmed]    Back to citation no. 10
  11. Ohnishi K, Nakayama T, Saito M, et al. Aneurysm of the intrahepatic branch of the portal vein. Report of two cases. Gastroenterology 1984 Jan;86(1):169–73.   [Pubmed]    Back to citation no. 11
  12. Abbas MA, Stone WM, Fowl RJ, et al. Splenic artery aneurysms: Two decades experience at Mayo clinic. Ann Vasc Surg 2002 Jul;16(4):442–9.   [CrossRef]   [Pubmed]    Back to citation no. 12
  13. Mattar SG, Lumsden AB. The management of splenic artery aneurysms: Experience with 23 cases. Am J Surg 1995 Jun;169(6):580–4.   [CrossRef]   [Pubmed]    Back to citation no. 13
  14. Gallego C, Velasco M, Marcuello P, Tejedor D, De Campo L, Friera A. Congenital and acquired anomalies of the portal venous system. Radiographics 2002 Jan-Feb;22(1):141–59.   [CrossRef]   [Pubmed]    Back to citation no. 14
  15. Lakin RO, Bena JF, Sarac TP, et al. The contemporary management of splenic artery aneurysms. J Vasc Surg 2011 Apr;53(4):958–64; discussion 965.   [CrossRef]   [Pubmed]    Back to citation no. 15
  16. Probst P, Castañeda-Zuñiga WR, Gomes AS, Yonehiro EG, Delaney JP, Amplatz K. Nonsurgical treatment of splenic-artery aneurysms. Radiology 1978 Sep;128(3):619–23.   [CrossRef]   [Pubmed]    Back to citation no. 16
  17. Guller J, Samman M, Deyer TW, Lookstein R, Nowakowski S. Repair of a splenic artery aneurysm using a novel balloon-expandable covered stent. Vasc Med 2006 May;11(2):111–3.   [CrossRef]   [Pubmed]    Back to citation no. 17
  18. Slankamenac K, Graf R, Barkun J, Puhan MA, Clavien PA. The comprehensive complication index: A novel continuous scale to measure surgical morbidity. Ann Surg 2013 Jul;258(1):1–7.   [CrossRef]   [Pubmed]    Back to citation no. 18
Suggested Reading
  • Habbal AY, Christophi C, Muralidharan V. Aneurysms of the splenic artery: A review. The Surgeon 2010;8:223–31.

[HTML Abstract]   [PDF Full Text]

Author Contributions
Samrat Ray – Substantial contributions to conception and design, Acquisition of data, Analysis and interpretation of data, Drafting the article, Revising it critically for important intellectual content, Final approval of the version to be published
Amitabh Yadav – Analysis and interpretation of data, Drafting the article, Revising it critically for important intellectual content, Final approval of the version to be published
Samiran Nundy – Analysis and interpretation of data, Drafting the article, Revising it critically for important intellectual content, Final approval of the version to be published
Guarantor of submission
The corresponding author is the guarantor of submission.
Source of support
None
Conflict of interest
Authors declare no conflict of interest.
Copyright
© 2017 Samrat Ray et al. This article is distributed under the terms of Creative Commons Attribution License which permits unrestricted use, distribution and reproduction in any medium provided the original author(s) and original publisher are properly credited. Please see the copyright policy on the journal website for more information.