Table of Contents    
Case Report
 
Broad ligament hernia: A rare cause of small bowel obstruction
Nicola Adanna Okeahialam1, Andrew Brodie2, Eriberto Farinella3
1MBChB, Foundation Year One House Officer, General Surgery, Lister Hospital, Stevenage, UK.
2MBChB, Core Surgical Trainee, General Surgery, Lister Hospital, Stevenage, UK.
3MD, Emergency and General Surgery Consultant, General Surgery, Lister Hospital, Stevenage, UK.

Article ID: 100013Z12NO2016
doi:10.5348/Z12-2016-13-CR-5

Address correspondence to:
Nicola Adanna Okeahialam
Flat 1, 32 Moray Road
London
UK, N4 3LG

Access full text article on other devices

  Access PDF of article on other devices

[HTML Abstract]   [PDF Full Text] [Print This Article]
[Similar article in Pumed] [Similar article in Google Scholar]

How to cite this article:
Okeahialam NA, Brodie A, Farinella E. Broad ligament hernia: A rare cause of small bowel obstruction. J Case Rep Images Surg 2016;2:15–18.


Abstract
Introduction: The broad ligament is a peritoneal fold attaching the fallopian tubes, ovaries and uterus to the wall and floor of the pelvis: herniation of abdominal viscera through a defect in this structure is rare and accounts for 4% of all internal hernias.
Case Report: We present the case of a 73-year-old woman with no prior surgical history presented to the emergency department with a four-day history of abdominal distension, bilious vomiting and not opening her bowels. Computed tomography (CT) scan of abdomen and pelvis showed a dilated small bowel with a transition point in the distal ileum with no definite cause of obstruction identified. As conservative management did not relieve her symptoms she was consented for a diagnostic laparoscopy which revealed internal herniation of distal ileum through a defect in the broad ligament of the uterus.
Conclusion: Small bowel obstruction due to internal herniation through a defect in the broad ligament is very rare. This diagnosis should be considered when radiological imaging is inconclusive. Early recognition is extremely important to reduce the risk of intestinal strangulation which has a high mortality rate.

Keywords: Broad ligament, Internal hernia, Laparoscopy, Small bowel obstruction


Introduction

Internal hernias are rare and occur when there is protrusion of a hollow viscus (more commonly the small intestine) intra-abdominally through a congenital or acquired opening within the peritoneum or mesentery. Up to approximately 6% of cases of intestinal obstruction are due to internal hernias [1][2]. The broad ligament is a peritoneal fold attaching the fallopian tubes, ovaries and uterus to the wall and floor of the pelvis: herniation of abdominal viscera through a defect in this structure is rare and accounts for 4% of all internal hernias [2][3][4][5]. Herein we report a case of small bowel obstruction due to a broad ligament hernia, managed successfully using laparoscopic techniques.


Case Report

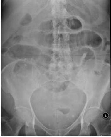
A 73-year-old woman with no prior surgical history presented to the emergency department with a four-day history of abdominal distension, bilious vomiting and not opening her bowels. On physical examination her abdomen was markedly distended, but soft, non-tender with tinkling bowel sounds. Rectal examination revealed no abnormalities. Laboratory findings showed raised inflammatory markers: CRP 123 mg/l and plain film radiography revealed dilated small bowel loops (Figure 1). A CT scan of abdomen and pelvis was subsequently performed which showed dilated small bowel with a transition point in the distal ileum with no definite cause of obstruction identified. Initially, she was managed conservatively with nasogastric tube decompression, intravenous antibiotics and fluids with little improvement of her symptoms. Therefore a diagnostic laparoscopy was undertaken. Intraoperative findings revealed internal herniation of distal ileum through a 3x3 cm defect in the broad ligament of the uterus (Figure 2) and (Figure 3). The small bowel had no evidence of ischaemia therefore was simply reduced and the defect of the broad ligament was closed with 2–0 vicryl stitches (Figure 4). Postoperatively her symptoms completely resolved leading to her discharge after three days.


Cursor on image to zoom/Click text to open image
Figure 1: Abdominal radiograph showing dilated loops of small bowel.



Cursor on image to zoom/Click text to open image
Figure 2: Laparoscopic image showing intestinal herniation through a defect in the broad ligament of the uterus.



Cursor on image to zoom/Click text to open image
Figure 3: Laparoscopic image showing the Type 1, fenestra, 3x3 cm defect in the broad ligament of the uterus.



Cursor on image to zoom/Click text to open image
Figure 4: Laparoscopic repair of the broad ligament defect.



Discussion

There are various types of internal hernias described in the literature; most commonly reported in 53% of cases are paraduodenal. Others examples include pericecal (13%), transmesenteric (8%), and epiploic foramen hernias (8%) [1] [2]. However, intestinal herniation through the broad ligament is the least common and only accounts for 4% of all internal hernias [4] [5]. Causes of these are either congenital or acquired in nature: usually due to obstetric trauma, abdominopelvic surgery, or pelvic inflammatory disease [5]. Therefore in a woman with a virgin abdomen and no significant medical history, a congenital cause must be considered. There are two classification systems described in literature which can be used to categorise defects within the broad ligament. The first was described by Hunt in 1934 and is based on the degree of peritoneal extension. The most common is the fenestra type, which involves both peritoneal layers, as small bowel can pass directly through this it can potentially lead to bowel strangulation. The pouch type is where only one of the two peritoneal layers is affected and may allow viscera to become trapped within parametrial tissue [6].

The second was devised in 1986 by Cilley which classified broad ligament hernias into three main categories based on the location of the defect within the broad ligament. Type 1 defects are the most common and occur in the mesometrium, which contains the greater section of the broad ligament. Type 2: interrupt the mesosalpinx and the mesovarium. Type 3: arise within the centre of the round ligament [7]. The patient in the case described above had a Type 1, fenestra broad ligament defect.

Clinically and radiologically internal hernias are very difficult to diagnose and a diagnostic delay is reported to have a mortality rate of approximately 50% due to the high risk of strangulation [2][5]. Laparoscopic techniques are therefore extremely important as it allows early recognition and prompt surgical management, which includes reduction of the herniated bowel, potential resection and repair of the defect [8][9][10].


Conclusion

Small bowel obstruction due to internal herniation through a defect in the broad ligament is very rare. This diagnosis should be considered when radiological imaging is inconclusive. Early recognition is extremely important to reduce the risk of intestinal strangulation which has a high mortality rate.


References
  1. Vipul Y, Paresh P, Apurva P. Congenital internal hernia: a rare cause of small-bowel obstruction. The Internet Journal of Surgery 2008;20(1).    Back to citation no. 1
  2. Martin LC, Merkle EM, Thompson WM. Review of internal hernias: radiographic and clinical findings. AJR Am J Roentgenol 2006 Mar;186(3):703–17.   [CrossRef]   [Pubmed]    Back to citation no. 2
  3. Miller A, Hong MK, Hutson JM. The broad ligament: a review of its anatomy and development in different species and hormonal environments. Clin Anat 2004 Apr;17(3):244–51.   [CrossRef]   [Pubmed]    Back to citation no. 3
  4. Hansmann GH, Morton SA. Intra-abdominal hernia: report of a case and review of the literature. Arch Surg 1939;39:973–86.    Back to citation no. 4
  5. Ishihara H, Terahara M, Kigawa J, Terakawa N. Strangulated herniation through a defect of the broad ligament of the uterus. Gynecol Obstet Invest 1993;35(3):187–9.   [CrossRef]   [Pubmed]    Back to citation no. 5
  6. Hunt AB. Fenestra and pouches in the broad ligament as an actual and potential cause of strangulated intraabdominal hernia. Surg Gynecol Obstet 1934;58:906–13.    Back to citation no. 6
  7. Cilley R, Poterack K, Lemmer J, Dafoe D. Defects of the broad ligament of the uterus. Am J Gastroenterol 1986 May;81(5):389–91.   [Pubmed]    Back to citation no. 7
  8. Garcia-Oria M, Inglada J, Domingo J, Biescas J, Ching C. Small bowel obstruction due to broad ligament hernia successfully treated by laparoscopy. J Laparoendosc Adv Surg Tech A 2007 Oct;17(5):666–8.   [CrossRef]   [Pubmed]    Back to citation no. 8
  9. Leone V, Misuri D, Faggi U, Giovane A, Fazio C, Cardini S. Laparoscopic treatment of incarcerated hernia through right broad ligament in patients with bilateral parametrium defects. G Chir 2009 Apr;30(4):141–3.   [Pubmed]    Back to citation no. 9
  10. Bangari R, Uchil D. Laparoscopic management of internal hernia of small intestine through a broad ligament defect. J Minim Invasive Gynecol 2012 Jan-Feb;19(1):122–4.   [CrossRef]   [Pubmed]    Back to citation no. 10

[HTML Abstract]   [PDF Full Text]

Author Contributions
Nicola Adanna Okeahialam – Conception and design, Analysis and interpretation of data, Drafting the article, Critical revision of the article, Final approval of the version to be published
Andrew Brodie – Conception and design, Acquisition of data, Analysis and interpretation of data, Critical revision of the article, Final approval of the version to be published
Eriberto Farinella – Acquisition of data, Analysis and interpretation of data, Critical revision of the article, Final approval of the version to be published
Guarantor of submission
The corresponding author is the guarantor of submission.
Source of support
None
Conflict of interest
Authors declare no conflict of interest.
Copyright
© 2016 Nicola Adanna Okeahialam et al. This article is distributed under the terms of Creative Commons Attribution License which permits unrestricted use, distribution and reproduction in any medium provided the original author(s) and original publisher are properly credited. Please see the copyright policy on the journal website for more information.