Table of Contents    
Case Report
 
Gastropleural fistula due to gastric perforation after cytoreductive surgery and hyperthermic intraperitoneal chemotherapy for ovarian cancer
Ali Mohammad Alakhtar1,2, Ayman Zaki Azzam3,4, Tarek Amin4
1Faculty of Medicine, Qassim University, Qassim, Saudi Arabia.
2Department of Cardiac Surgery, King Faisal Specialist Hospital & Research Center(KFSH&RC), P.O. Box 3354, Riyadh 11211, Saudi Arabia.
3Department of General Surgery, Faculty of Medicine, Alexandria University, Alexandria 21526, Egypt.
4Department of Surgical Oncology, King Faisal Specialist Hospital & Research Center (KFSH&RC), P.O. Box 3354, Riyadh 11211, Saudi Arabia.

Article ID: 100020Z12AA2016
doi:10.5348/Z12-2016-20-CR-12

Address correspondence to:
Ali Mohammad Alakhtar
Faculty of Medicine, Qassim University, Qassim
Saudi Arabia
Department of Cardiac Surgery, King Faisal Specialist Hospital & Research Center(KFSH&RC), P.O. Box 3354, Riyadh 11211
Saudi Arabia

Access full text article on other devices

  Access PDF of article on other devices

[HTML Abstract]   [PDF Full Text] [Print This Article]
[Similar article in Pumed] [Similar article in Google Scholar]

How to cite this article:
Alakhtar AM, Azzam AZ, Amin T. Gastropleural fistula due to gastric perforation after cytoreductive surgery and hyperthermic intraperitoneal chemotherapy for ovarian cancer. J Case Rep Images Surg 2016;2:43–45.


Abstract
Gastropleural fistula is an uncommon complication post-abdominal surgeries. We are reporting a case of a 60-year-old female who developed a gastropleural fistula with pleural effusion as a complication of cytorductive surgery (CRS) and hyperthermic intraperitoneal chemotherapy (HIPEC) for ovarian cancer. The diagnosis was discovered by radiological study (CT scan of chest, abdomen and pelvis). The patient underwent laparotomy with surgical repair of the fistula, which was the definite treatment for this case.

Keywords: Abdominal distention, Gastropleural fistula, Gastric perforation, Ovarian cancer


Introduction

Gastropleural fistula has been reported as a complication of intrathoracic gastric perforation in hiatal hernia, traumatic diaphragmatic hernia with later gastric perforation, perforated malignant gastric ulcer at fundus, extension of subphrenic abscess with gastric perforation, pulmonary resection and gastric bypass operations [1][2][3][4][5]. The diagnosis of gastric-pleural fistula is usually made by radiographic contrast examination [11], upper endoscopy, or at surgery [10]. We are reporting a case of gastric perforation into the thoracic cavity following, discussing the possible etiology, diagnosis and management of such cases.


Case Report

A 60-year-old female was a known case of hypertension on oral medication. Previous surgical history includes laparoscopic cholecystectomy and diagnostic laparoscopy. The patient's problem started since two years with abdominal distention and progressive weight loss. She was diagnosed to have bilateral ovarian enlargement with a picture of peritoneal carcinomatosis. She underwent diagnostic laparoscopy and a biopsy was taken which revealed papillary serous ovarian cancer. The patient received three cycles of neoadjuvant chemotherapy and showed good response, after which she underwent interval debulking in December 2012. After two years of follow-up, she developed recurrence of her disease. She underwent CRS including total peritonectomy, splenectomy, distal pancreatectomy, appendectomy plus HIPEC. Postoperatively, the patient was stabilized in the ICU for a few days and then transferred to the surgical ward. The patient was progressing well, she was gradually advanced to full diet, her abdominal drains were removed, mobilizing as tolerated, and prepared to go home.

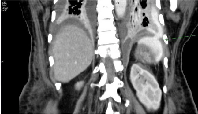
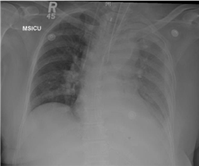
On day-10 postoperatively, the patient started complaining of abdominal pain, her heart rate was increasing up to 130 bpm, as well as her respiratory rate 25/min, and she had fever reached 38.5°C. The patient was transferred to the ICU then, intubated and sedated; work-up done to diagnosis sepsis. The patient was started on empirical IV antibiotics. Chest X-ray was done and revealed pleural effusion for which a pig tail catheter was inserted. The drainage fluid was pus and sent for culture and sensitivity (Figure 1). The patient condition did not improve in spite of the drainage of empyema. Computed tomography scan of chest, abdomen and pelvis showed gastropleural fistula (Figure 2). The patient was taken immediately for an exploratory laparotomy. The stomach was dissected from the diaphragm and it came out very easily. Then by close inspection, a tiny hole on the greater curvature was found and closed. Also the hole in the diaphragm was identified and closed. Postoperatively, the patient was transferred back to the ICU for stabilization, and then transferred to the surgical ward. She was stable, no fever, tolerating oral feeding. Computed tomography scan of abdomen and chest was normal. The drains were removed and the patient was discharged home in a good condition.


Cursor on image to zoom/Click text to open image
Figure 1: Chest X-ray showing left side pleural effusion.



Cursor on image to zoom/Click text to open image
Figure 2: Computed tomography scan showing gastric perforation with contrast extravasation extending between pleural cavity and peritoneum (arrow).



Discussion

Gastropleural fistula has been described in 1960 by Markowitz and Herter. They described causes of gastropleural fistula as intrathoracic perforation of stomach in hiatal hernia, traumatic diaphragmatic hernia with perforation of stomach and intraperitoneal gastric perforation with erosion of subphrenic abscess via diaphragm [1][2]. Later, it was also recognized that these fistulas might occur in late postoperative phase of esophagogastrectomy, with or without presence of recurrent tumor or radiation therapy [6] [7][8][9].

Gastropleural fistula is a rare post-abdominal surgery complication, and to our mind, this is the first case to be reported as a complication of CRS and HIPEC. The diagnosis of gastropleural fistula is usually made by radiographic contrast examination [11], upper endoscopy, or at surgery [10].

The definitive cause of the gastropleural fistula in this case remains unknown. We can assume that the fistula complicated the peeling of peritoneum from the diaphragm with the presence of minor tear in the stomach resulted from dissection of the greater omentum which lead to sub-diaphragmatic abscess formation. This abscess was subsequently opened and drained into pleural cavity.


Conclusion

In conclusion, we reported that case to focus on the difficulties in diagnosis of such complications, which often requires endoscopic and radiological procedures. The diagnosis delayed because we did not suspect that chest empyema was developed as a complication of abdominal surgery. So, the physicians should suspect and put the chest complications on the differential diagnosis in patients who develop dyspnea due to pleural effusion after major abdominal procedures.


References
  1. Markowitz AM, Herter FP. Gastro-pleural fistula as a complication of esophageal hiatal hernia. Ann Surg 1960 Jul;152:129–34.   [CrossRef]   [Pubmed]    Back to citation no. 1
  2. Schwab RJ, Jarvik JG. Tension pneumothorax secondary to a gastropleural fistula in a traumatic diaphragmatic hernia. Chest 1991 Jan;99(1):247–9.   [CrossRef]   [Pubmed]    Back to citation no. 2
  3. O'Keefe PA, Goldstraw P. Gastropleural fistula following pulmonary resection. Thorax 1993 Dec;48(12):1278–9.   [CrossRef]   [Pubmed]    Back to citation no. 3
  4. Biswas IH, Raghavan C, Sevcik L. Gastropleural fistula: an unusual cause of intractable postoperative nausea and vomiting. Anesth Analg 1996 Jul;83(1):186–8.   [CrossRef]   [Pubmed]    Back to citation no. 4
  5. Virlos I, Asimakopoulos G, Forrester-Wood C. Gastropleural fistula originating from the lesser curve: a recognised complication, an uncommon pathway of communication. Thorac Cardiovasc Surg 2001 Oct;49(5):308–9.   [CrossRef]   [Pubmed]    Back to citation no. 5
  6. Mussi A, Lucchi M, Davini F, Angeletti CA. Gastropleural fistula as complication of postpneumonectomy empyema. J Cardiovasc Surg (Torino) 2000 Feb;41(1):147–9.   [Pubmed]    Back to citation no. 6
  7. Bini A, Grazia M, Petrella F, Stella F, Bazzocchi R. Spontaneous biliopneumothorax (thoracobilia) following gastropleural fistula due to stomach perforation by nasogastric tube. Ann Thorac Surg 2004 Jul;78(1):339–41.   [CrossRef]   [Pubmed]    Back to citation no. 7
  8. Takeda S, Funaki S, Yumiba T, Ohno K. Gastropleural fistula due to gastric perforation after lobectomy for lung cancer. Interact Cardiovasc Thorac Surg 2005 Oct;4(5):420–2.   [CrossRef]   [Pubmed]    Back to citation no. 8
  9. Fine A. Laparoscopic resection of a large proximal gastric diverticulum. Gastrointest Endosc 1998 Jul;48(1):93–5.   [CrossRef]   [Pubmed]    Back to citation no. 9
  10. Chow H, Jung A, Talbott J, Lin AM, Daud AI, Coakley FV. Tumor fistulization associated with targeted therapy: computed tomographic findings and clinical consequences. J Comput Assist Tomogr 2011 Jan-Feb;35(1):86–90.   [CrossRef]   [Pubmed]    Back to citation no. 10

[HTML Abstract]   [PDF Full Text]

Author Contributions
Ali Mohammad Alakhtar – Substantial contributions to conception and design, Acquisition of data, Analysis and interpretation of data, Drafting the article, Revising it critically for important intellectual content, Final approval of the version to be published
Ayman Zaki Azzam – Analysis and interpretation of data, Revising it critically for important intellectual content, Final approval of the version to be published
Tarek Amin – Analysis and interpretation of data, Revising it critically for important intellectual content, Final approval of the version to be published
Guarantor of submission
The corresponding author is the guarantor of submission.
Source of support
None
Conflict of interest
Authors declare no conflict of interest.
Copyright
© 2016 Ali Mohammad Alakhtar et al. This article is distributed under the terms of Creative Commons Attribution License which permits unrestricted use, distribution and reproduction in any medium provided the original author(s) and original publisher are properly credited. Please see the copyright policy on the journal website for more information.