Case Report
 
Long term follow up after ultrasound assisted percutaneous endoscopic jejunostomy: A case report
Saburo Kakizoe1, Yumiko Kakizoe1, Hiroshi Kakizoe2, Keiji Kakizoe1
1Department of Surgery, ILIKAI Medical INC, Kakizoe hospital, Kagamigawa 278, Hirado, Nagasaki, Japan
2Department of Internal Medicine, ILIKAI Medical INC, Kakizoe Hospital, Kagamigawa 278, Hirado, Nagasaki, Japan

Article ID: 100054Z12SK2018
doi: 10.5348/100054Z12SK2018CR

Corresponding Author:
Saburo Kakizoe MD, PhD, Department of Surgery ILIKAI Medical INC, Kakizoe Hospital
Kagamigawa 278, Hirado
Nagasaki 859-5152, Japan

Access full text article on other devices

  Access PDF of article on other devices

[HTML Abstract]   [PDF Full Text] [Print This Article]
[Similar article in PubMed] [Similar article in Google Scholar]



How to cite this article
Kakizoe S, Kakizoe Y, Kakizoe H, Kakizoe K. Long term follow up after ultrasound assisted percutaneous endoscopic jejunostomy: A case report. J Case Rep Images Surg 2018;4:100054Z12SK2018.


ABSTRACT

We designed a new procedure to make jejunostomy using an ultrasonography and a regular PEG kit since 2009. We named the procedure Ultrasound assisted Percutaneous Endoscopic Jejunostomy (USPEJ). A case of long-term follow-up after USPEJ with spotting management of jejunal tube and his nutrition status is reported. USPEJ is easy and safe to perform and demonstrates long term efficacy. Replacement of jejunal tube can be performed safely and without difficulty.

Keywords: Percutaneous endoscopic gastrostomy, Percutaneous endoscopic jejunostomy, Ultrasonography


INTRODUCTION

The percutaneous endoscopic gastrostomy (PEG) has been standard procedure for the patient with dysphagia, because the procedure is less-invasive for the patient [1, 2, 3]. We design the new procedure to make jejunostomy with using an ultrasonography and a regular PEG kit and name the procedure Ultrasound assisted Percutaneous Endoscopic Jejunostomy (USPEJ)[4]. In this report, we describe the long-term follow-up after USPEJ with spotting management of jejunal tube and nutrition status.


CASE REPORT

A 56-year-old man presented with alcoholic encephalopathy and alcoholic liver cirrhosis in April 2014. He was 165 cm height and 41 kg weight. He had a past history of total gastrectomy for gastric cancer when he was 51-year-old. Because he had dysphagia, we performed USPEJ to him in May 28, 2014. Ileus tube was inserted into the jejunum and its balloon was expanded with 20 ml water under observation by endoscopy (Figure 1A). Abdominal ultrasonography was performed to find the balloon of ileus tube with a puncture probe (Figure 1B). When we found the balloon, we punctured the jejunum just beside the balloon by using a regular puncture needle of PEG kit after local anesthesia. The jejunal tube was placed as a jejunostomy tube with an ordinal pull- through method of PEG. Four days after USPEJ jejunal nutrition was started safely.

His body weight was around 40 kg until he got pneumonia and had multi organ dysfunction. His hemoglobin became normal after USPEJ. His serum total protein and albumin showed low range because he had cirrhosis (Figure 2). However, we could keep his nutrition level stable for 42 months with jejunal nutrition.

He died with multiple organ failure 44 months after USPEJ in January 1, 2018.

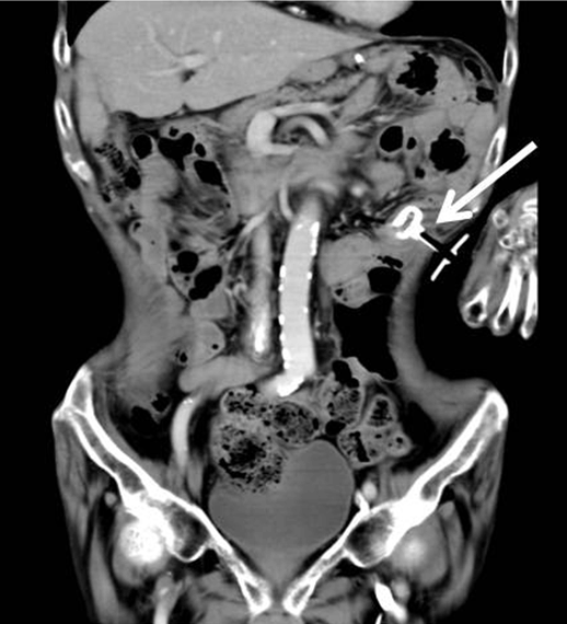
We replaced jejunal tube four times after USPEJ because the tube looked old. At the replacement of jejunal tube we used EndoVive Bumper Gtube (Boston scientific, USA) as new jejunal tube. After we pulled out the first PEG tube, we inserted EndoVive percutaneously. No technical difficulty and complication was encountered. We cannot use balloon type exchange tube because the balloon occludes the jejunum. We took CT to make sure that the tube was in jejunum (Figure 3).


Cursor on image to zoom/Click text to open image
Figure 1: (A) A balloon of ileus tube is placed in jejunum and expanded after with watching by endoscopy; (B) A expanded balloon of ileus tube is easy to find by ultrasonography (arrow)


Cursor on image to zoom/Click text to open image
Figure 2: Hemoglobin (Hb), serum total protein (PT) and serum Albumin (ALB).


Cursor on image to zoom/Click text to open image
Figure 3: CT scan after replacement of jejuinal tube to EndoVive Bumper G tube (arrow).




DISCUSSION

Many of percutaneous endoscopic jejunostomy are reported recently and their benefits are mentioned [5, 6]. However, Maple et al reported that the direct percutaneous endoscopic jejunostomy was associated with a moderate or severe complication in approximately 10% of cases such as bowel perforation, jejunal volvuli and major bleeding [6]. In this point, we use ordinary ileus tube to make jejunostomy. With using balloon of ileus tube, we can dilate the jejunum and make safe place to puncture percutaneously guided by ultrasonography [4]. The method contributes early period of safety of percutaneous endoscopic jejunostomy. However, the case of long-term follow-up of this patient has not been reported. Our case had liver cirrhosis and alcoholic encephalopathy. The patient could not live long without jejunal nutrition. In long term follow up, we should replace the tube as we do ordinal PEG. Bumper type of exchange tube must be used because balloon type occludes jejunum. As jejunalfistel was completely made three months after USPEJ, we could replace the tube safely.


CONCLUSION

USPEJ is easy and safe to perform and demonstrates long term efficacy. The jejunal tube can be replaced easily and safely.


REFERENCES
  1. Akkersdijk WL, van Bergeijk JD, van Egmond T, et al. Percutaneous endoscopic gastrostomy (PEG): Comparison of push and pull methods and evaluation of antibiotic prophylaxis. Endoscopy 1995 May;27(4):313–6.   [CrossRef]   [PubMed]    Back to citation no. 1
  2. Grant JP. Percutaneous endoscopic gastrostomy. Initial placement by single endoscopic technique and long-term follow-up. Ann Surg 1993 Feb;217(2):168–74.   [CrossRef]   [PubMed]    Back to citation no. 2
  3. Ljungdahl M, Sundbom M. Complication rate lower after percutaneous endoscopic gastrostomy than after surgical gastrostomy: A prospective, randomized trial. Surg Endosc 2006 Aug;20(8):1248–51.   [CrossRef]   [PubMed]    Back to citation no. 3
  4. Kakizoe S, Kakizoe Y, Kakizoe H, Matsuoka I, Kakizoe K. Ultrasound assisted percutaneous endoscopic jejunostomy. Hepatogastroenterology 2009 Mar–Apr;56(90):427–8.   [PubMed]    Back to citation no. 4
  5. Al-Bawardy B, Gorospe EC, Alexander JA, et al. Outcomes of double-balloon enteroscopy-assisted direct percutaneous endoscopic jejunostomy tube placement. Endoscopy 2016 Jun;48(6):552-6.   [CrossRef]   [PubMed]    Back to citation no. 5
  6. Maple JT, Petersen BT, Baron TH, Gostout CJ, Wong Kee Song LM, Buttar NS. Direct percutaneous endoscopic jejunostomy: Outcomes in 307 consecutive attempts. Am J Gastroenterol 2005 Dec;100(12):2681–8.   [CrossRef]   [PubMed]    Back to citation no. 6

[HTML Abstract]   [PDF Full Text]

Author Contributions
Saburo Kakizoe – Substantial contributions to conception and design, Acquisition of data, Analysis and interpretation of data, Drafting the article, Revising it critically for important intellectual content, Final approval of the version to be published
Yumiko Kakizoe – Substantial contributions to conception and design, Acquisition of data, Drafting the article, Revising it critically for important intellectual content, Final approval of the version to be published
Hiroshi Kakizoe – Substantial contributions to conception and design, Acquisition of data, Analysis and interpretation of data, Drafting the article, Revising it critically for important intellectual content, Final approval of the version to be published
Keiji Kakizoe – Substantial contributions to conception and design, Acquisition of data, Analysis and interpretation of data, Drafting the article, Revising it critically for important intellectual content, Final approval of the version to be published

Guarantor of Submission
The corresponding author is the guarantor of submission.
Source of Support
None
Consent Statement
Written informed consent was obtained from the patient for publication of this case report.
Conflict of Interest
Author declares no conflict of interest.
Copyright
© 2018 Saburo Kakizoe et al. This article is distributed under the terms of Creative Commons Attribution License which permits unrestricted use, distribution and reproduction in any medium provided the original author(s) and original publisher are properly credited. Please see the copyright policy on the journal website for more information.