Case Report


Gastric emphysema or emphysematous gastritis? A diagnostic dilemma: A case that failed conservative management

,  

1 Associate Lecturer, General Surgical Department, University of Queensland, Queensland, Australia

2 General Surgeon, General Surgical Department, Queensland, Australia

Address correspondence to:

Bertrand Ng Ren Joon

116, Water Street, South Toowoomba, Queensland 4350,

Australia

Message to Corresponding Author


Article ID: 100068Z12BJ2020

doi:10.5348/100068Z12BJ2020CR

Access full text article on other devices

Access PDF of article on other devices

How to cite this article

Joon BNR, Subramanian P. Gastric emphysema or emphysematous gastritis? A diagnostic dilemma: A case that failed conservative management. J Case Rep Images Surg 2020;6:100068Z12BJ2020.

ABSTRACT


Introduction: Intramural gas within stomach wall on computed tomography (CT) scan can appear quite daunting for clinicians who have not dealt with it before. Management because of its rare entity and different etiology can pose difficulty to clinician. The two main groups: emphysematous gastritis and gastric emphysema though similar in name can vary greatly in management and prognosis.

Case Report: I present a case of an 83-year-old woman who presented to Emergency Department (ED) post-endoscopic retrograde cholangiopancreatography (ERCP) two months with a CT showing intramural gas within stomach wall, though she refused for any intervention to be done and, hence, we were not able to reach a conclusive diagnosis, the case did pose a few questions regarding the dilemma in getting to the diagnosis.

Conclusion: Nevertheless, we would still recommend guidance from clinical presentation, biochemical parameter, imaging, monitoring the patient regularly, being vigilant, and aware of the potential complication that could arise and offering early intervention to the patient on a case by case basis.

Keywords: Emphysematous gastritis, Gastric emphysema, Intramural gas, post-ERCP, Stomach wall

Introduction


Intramural gas within stomach wall on CT scan can be quite a daunting experience for clinicians who have not dealt with it before. It is a rare case and managing it depending on the etiology that can differ completely at different ends of the spectrum. Diagnosing the etiology is key to the treatment and management, however, dilemma often arises when making a diagnosis. I present a case of intramural gas diagnosed on CT scan, two months post-ERCP. Although she has refused any further intervention, and the diagnosis is still unclear, the case did raise some issues on dilemma in making a diagnosis and provide a case that has failed conservative management.

Case Report


An 83-year-old lady who initially presented to the Emergency Department for worsening nausea and vomiting for the last four days, up to >10 times a day. She had also been complaining about worsening colicky abdominal pain in the epigastric region. On further history, she revealed that she has been feeling unwell since she had an endoscopic retrograde cholangiopancreatography (ERCP) done approximately two months ago for a pancreatic stent removal. She was gradually losing her appetite over the last two months, with increasing vomiting frequency and had noticed about 5 kg of weight loss over the last two months due to her poor oral intake. She was still passing flatus daily and had denied any per rectal bleeding/melena on her stool. Over the course of the last two months, she had been getting fatigue easily and had remained in bed for most of the time.

She initially presented to the hospital four months ago for choledocholithiasis with a MRCP scan revealing intrahepatic duct dilatation and a dilated common bile duct (CBD) up to 12 mm and a distal CBD which reveals a few hypointense area consistent with multiple small calculi. She underwent an ERCP which found that her CBD was dilated at 15 mm with multiple stones and complete removal of stones and sludge was accomplished by a biliary sphincterotomy and a sphincteroplasty with a balloon dilator. A pancreatic stent was placed into ventral pancreatic duct and a final satisfactory imaging was achieved. There was no post sphincterotomy bleeding and she was recommenced on her clopidogrel and aspirin the day after.

She was well after the procedure and had returned for another ERCP to remove the pancreatic stent four weeks later. On this repeat ERCP, there was an odd appearing depression in the antrum with abnormal mucosa in the middle which gives an impression of a fistula or a sinus communication (Figure 1). However, a biopsy was done which came back as moderate to severe chronic active gastritis with Helicobacter pylori negative. The pancreatic stent was removed without any complication.

Her past medical history included a recent history of a myocardial infarction and had been on double antiplatletaspirin and clopidogrel in the past one year, type 2 diabetes mellitus on diet control alone, chronic obstructive pulmonary disease (COPD), and hypertension.

On return to the ED during this admission, her bloods revealed an acute on chronic kidney injury with a urea 19 mmol/L (Normal limit: 2.9–8.2 mmol/L), creatinine 240 mmol/L (Normal limit: 36–73 mmol/L), estimated glomerular filtration rate (eGFR) 16 mL/min (Normal limit: >60 mL/min); her baseline eGFR was 48 mL/min. Her hemoglobin reads 135 g/L (Normal limit: 110–165 g/L), white cell count 19 × 109/L (Normal limit: 3.5–11 × 109/L) and C-reactive protein 240 mg/L (Normal limit: <5 mg/L). Her electrolytes were only mildly deranged with sodium 132 mmol/L (Normal limit: 135–145 mmol/L), potassium 4.1 mmol/L (Normal limit: 3.5–5.2 mmol/L), magnesium 1.05 mmol/L (Normal limit: 0.7–1.10 mmol/L), and phosphate 2.41 mmol/L (Normal limit: 0.75–1.10 mmol/L).

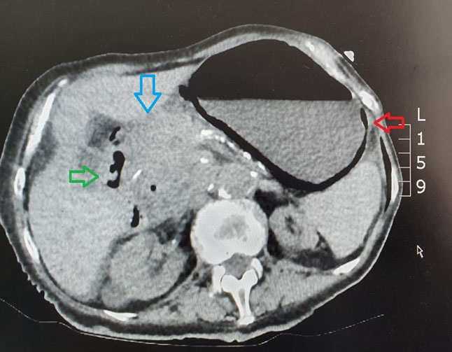
She had a CT abdomen pelvis that was noncontrasted scan due to her deteriorating renal function which revealed intramural gas within stomach wall and small amount of gas extramurally with pneumobilia likely from recent ERCP (Figure 2 and Figure 3). There was also a large mass identified at porta hepatis, however, due to the noncontrasted scan, the clear origin where the mass was arising from was not distinctly identified.

Our impression was that she probably developed a hematoma after her ERCP and overtime led to gastric outlet obstruction and her persistent vomiting over the last few days contributed to the gastric emphysema appearances on CT scan. A nasogastric tube (NG) tube was inserted and approximately 1 liter of bile like fluid was drained with no evidence of coffee ground color. Intravenous (IV) antibiotics was started. She only had mild tenderness over the epigastric area and was soft on other parts of her abdomen. The options of a gastroscopy or surgery were explained to her, however, she had refused for anything invasive and only wanted to be kept comfortable. She passed away peacefully after 10 days in hospital.

Figure 1: Odd appearing depression in antrum noted on gastroscope. Biopsy was done.

Share Image:

Figure 2: Axial noncontrast CT scan. Red arrow: intramural gas within gastric wall; Green arrow: porta venous gas on CT scan; Blue arrow: large mass identified at porta hepatis.

Share Image:

Figure 3: Coronal noncontrast CT scan. Red arrow: intramural gas within gastric wall; Green arrow: porta venous gas on CT scan; Blue arrow: large mass identified at porta hepatis.

Share Image:

Discussion


Pneumatosis can be defined as present of air in the wall of any part of the gastrointestinal (GI) tract. It can occur from any site from stomach up to the rectum. Pneumatosis is not a disease but a clinical sign. The clinical scenario varies completely for every case, from benign to lifethreatening. On a retrospective study done by Morris on 97 cases in pneumatosis intestinalis, 46% had involvement of the colon, 27% for small bowel, and only a mere 5% for stomach [1]. Stomach pneumatosis also known as gastric emphysema is not completely understood yet but many theories have been put forth on how it occurs. The pathophysiology of gastric emphysema can differ depending on the etiology. The theories suggested for gastric wall air include mechanical, pulmonary, ischemic, and bacterial sources. The mechanical theory suggests that gas is forced into bowel wall through a mucosal defect, such as during insufflation; the pulmonary effect suggests the rupture of an emphysematous bullae in patients with COPD which leads the air to enter the mediastinum and to the retroperitoneum space; the ischemic theory is when an area of the stomach becomes ischemic or slow healing leading to dissection in the wall and gas leaking into the wall; and the bacterial source is a case where gas forming organizes colonize gastric mucosa and caused a local infection through a mucosal defect or hematogenous dissemination from a distant [2].

The two major differential diagnosis of stomach intramural gas is emphysematous gastritis and gastric emphysema [3],[4]. The major difference between the two has been summarized in Table 1.

In the above case, the patient was treated as a gastric emphysema likely from hematoma that formed over weeks after her ERCP, compressing on her gastric outlet leading to increasing gastric intraluminal pressure. This massive distension of the stomach can lead to ischemia and gas entering the wall of the stomach. The other possible explanation was the persistent vomiting that the patient experienced, more than 10 episode/day might have led to a dissection in the mucosa of the stomach lining. The portal venous gas in her CT scan might have been contributed by her recent ERCP. She was hemodynamically stable and did not have any peritonism in her abdomen. She was also not immunocompromised prior to this. She was started on IV antibiotics as we could not completely ruled out emphysematous gastritis. She had refused for any invasive intervention including a gastroscope and passed away 10 days later. On hindsight, her symptoms did not resolve with conservative management. Could it be that this is a case of emphysematous gastritis after all?

Table 1: The summary of the difference between emphysematous gastritis and gastric emphysema [3, 4]

Share Image:

Conclusion


Gastric emphysema and emphysematous gastritis may sound similar but have a very different outcomes and prognosis. Even with guidance from clinical presentation, biochemical parameter and imaging, diagnosis may still be a dilemma sometimes. Considering all the parameter above, monitoring the patient regularly, being vigilant and aware of the potential complication that could arise, offering early intervention to the patient could help change the outcome of the patient in certain cases. We would recommend guidance from clinical presentation, biochemical parameter, imaging, monitoring the patient regularly, being vigilant and aware of the potential complication that could arise and offering early intervention to the patient on a case by case basis.

REFERENCES


1.

Morris MS, Gee AC, Cho SD, et al. Management and outcome of pneumatosis intestinalis. Am J Surg 2008;195(5):679–82. [CrossRef] [Pubmed]   Back to citation no. 1  

2.

Paul M, John S, Menon MC, Golewale NH, Weiss SL, Murthy UK. Successful medical management of emphysematous gastritis with concomitant portal venous air: A case report. J Med Case Rep 2010;4:140. [CrossRef] [Pubmed]   Back to citation no. 1  

3.

Hirsch D, Herman SD. Emphysematous gastritis and its differential considerations. J Am Osteopath Coll Radiol 2017;6(3):19–21.   Back to citation no. 1  

4.

López-Medina G, Castillo Díaz de León R, Heredia-Salazar AC, Hernández-Salcedo DR. Gastric emphysema a spectrum of pneumatosis intestinalis: A case report and literature review. Case Rep Gastrointest Med 2014;2014:891360. [CrossRef] [Pubmed]   Back to citation no. 1  

SUPPORTING INFORMATION


Author Contributions

Bertrand Ng Ren Joon - Conception of the work, Design of the work, Acquisition of data, Analysis of data, Drafting the work, Revising the work critically for important intellectual content, Final approval of the version to be published, Agree to be accountable for all aspects of the work in ensuring that questions related to the accuracy or integrity of any part of the work are appropriately investigated and resolved.

Pradeep Subramanian - Conception of the work, Design of the work, Revising the work critically for important intellectual content, Final approval of the version to be published, Agree to be accountable for all aspects of the work in ensuring that questions related to the accuracy or integrity of any part of the work are appropriately investigated and resolved.

Acknowledgments

University of Queensland, Australia.

Guarantor of Submission

The corresponding author is the guarantor of submission.

Source of Support

None

Consent Statement

Written informed consent was obtained from the patient for publication of this article.

Data Availability

All relevant data are within the paper and its Supporting Information files.

Conflict of Interest

Authors declare no conflict of interest.

Copyright

© 2020 Bertrand Ng Ren Joon et al. This article is distributed under the terms of Creative Commons Attribution License which permits unrestricted use, distribution and reproduction in any medium provided the original author(s) and original publisher are properly credited. Please see the copyright policy on the journal website for more information.