Case Report


A case of endometriosis of the appendix

,  

1 Associate Lecturer, General Surgical Department, Toowoomba Hospital, University of Queensland, QLD, Australia

2 General Surgeon, Toowoomba Hospital, QLD, Australia

Address correspondence to:

Bertrand Ng Ren Joon

116 Water Street, South Toowoomba, QLD 4350,

Australia

Message to Corresponding Author


Article ID: 100069Z12BJ2020

doi:10.5348/100069Z12BJ2020CR

Access full text article on other devices

Access PDF of article on other devices

How to cite this article

Joon BNR, Jahangiri R. A case of endometriosis of the appendix. J Case Rep Images Surg 2020;6:100069Z12BJ2020.

ABSTRACT


Introduction: Endometriosis is quite common in ladies in their reproductive age, however, endometriosis of the appendix is uncommon. It is important for general surgeons to be aware of this diagnosis as incidental findings of endometriosis may occur intraoperatively during abdominal surgery to ensure timely referral to our colleagues. I present a case of endometriosis of the appendix that was diagnosed as an acute appendicitis on computed tomography (CT) scan.

Case Report: A 30-year-old lady presented with one day history of lower abdominal pain more on the right lower abdomen. She is known to have endometriosis previously. A CT scan revealed acute appendicitis with inflammatory changes in distal ileum and the appendix was slightly dilated at 6.3 mm. She also had an ultrasound that revealed a large 4 mm ovarian hypoechoic mass on her left ovary likely representing an endometrioma. She underwent a laparoscopic appendectomy and the histology result revealed two foci of endometrial present in the subserosa of the appendix with surrounding endometrial stroma seen. However, there was no acute inflammation of the appendix.

Conclusion: It is essential to be aware of the potential of endometriosis being a differential diagnosis in female of childbearing age who present with right iliac fossa. The gynecology team should be involved early especially when there is suspicion of involvement of the female reproductive organ. We would recommend surgical management of patient with symptomatic endometriosis of the appendix.

Keywords: Acute appendicitis, Appendix, Endometriosis, Laparoscopic appendectomy

Introduction


Endometriosis is quite common in ladies in their reproductive age, however, endometriosis of the appendix is uncommon. Endometriosis is mainly treated and managed by the gynecological team, however, it is important for general surgeons to be aware of this diagnosis as incidental findings of endometriosis may occur intraoperatively during abdominal surgery to ensure timely referral to our colleagues. I present a case of endometriosis of the appendix that was diagnosed as an acute appendicitis on CT scan.

Case Report


A 30-year-old lady initially presented to the emergency department with lower abdominal pain that lasted for the last 24 hours. She described the pain as being a sharp stabbing pain which comes in strong waves. She was requiring a lot of pain killer in the emergency department. The pain was not relieved or worsened by any position change or movement. She denies any urinary tract symptoms, such as dysuria and hematuria. As time passed, the pain migrated to her right iliac fossa. She was at day 3 in her menstrual cycle when the pain occurs. Her bowel motions were normal and has denies any vomiting or loss of appetite. She was sexually active, however, had denied having any abnormal per vaginal discharge, with her menstrual period normally being irregular.

She had previously been diagnosed with endometriosis with pain commonly occurring in her left lower abdomen, however, the pain she experienced during this presentation was more intense and occur mainly in her right iliac fossa. She also had a dilatation and curette for a miscarriage three months ago. She had no previous surgical history. She was also a nonsmoker and nonalcoholic.

On examination, she was tender on deep palpation on both her left and right lower abdomen. The tenderness was felt more on her right iliac fossa compared to her left iliac fossa and suprapubic region. Her abdomen was otherwise soft and both inguinal hernia orifices were negative on cough impulse. Her blood test report revealed a white cell count that was marginally raised at 11.2 × 109/L (normal range 4.0–11.0/L) with her C-reactive protein elevated at 38 mg/L (normal range <5.0). Her urine test report showed normal leucocytes of 10 × 106/L (normal <10) and epithelial of 10 × 106/L. Urine erythrocytes were raised at 50 × 106/L (normal range <10). However, this could be due to the reason that she was still menstruating. Her urine beta human chorionic gonadotropin was negative.

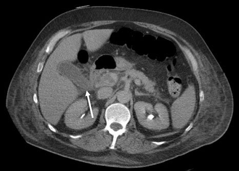
A pelvic ultrasound was done which revealed a possibility of a bicornuate uterus and a 4.4 cm mass seen within left ovary which is hypoechoic in nature which probably represent endometrioma (Figure 1). There was no free fluid noted or any adnexa mass seen. The appendix was not visualized. Due to her nonresolving abdominal pain, a CT scan of abdomen and pelvis was done. It was noted on the scan that there was an inflammatory change in the distal ileum with the appendix being slightly dilated at 6.3 mm and could suggest an early appendicitis (Figure 2 and Figure 3). Apart from the left ovary cyst there were no other abnormalities noted.

She was seen by the gynecology team and felt that the endometrioma on her left ovary was unlikely the cause for her acute pain. The possible risk of infection from appendicitis to her ovaries and uterus was explained to her. A discussion was also done with her whether to remove the endometrioma on her left ovary, if we were planning for a laparoscopic appendectomy. In view that she was consulting an in vitro fertilization (IVF) specialist for pregnancy, the decision was made not to excise it as it will cause potential risk of impairing fertility.

She had a laparoscopy appendectomy the next day. The appendix and mesoappendix appeared thickened with extensive endometriosis in pelvis and left ovary endometrioma were visualized (Figure 4 and Figure 5). The appendix was removed and she was discharged home the next day. Her histology result showed two foci of endometrial present in the subserosa of the appendix with surrounding endometrial stroma and no atypical features seen. There was also mucosal lymphoid hyperplasia but no transmural neutrophilic infiltrate which indicated no acute inflammation of the appendix.

Figure 1: Ultrasound of the left ovary showing width of 4 cm.

Share Image:

Figure 2: Axial CT scan: red arrow indicates the slightly dilated appendix at 6.3 cm with inflammatory changes in the distal ileum.

Share Image:

Figure 3: Coronal view of the CT scan: red arrow indicates the slightly dilated appendix at 6.3 cm with inflammatory changes in the distal ileum.

Share Image:

Figure 4: Intraoperative photo: hemoperitoneum from retrograde menstruation.

Share Image:

Figure 5: Endometriosis of the left ovary.

Share Image:

Discussion


Endometriosis is estrogen dependent lesion that can be classified into two groups based on location: internal endometriosis, also known as adenomyosis, and external endometriosis [1]. Internal endometriosis is ectopic endometrial tissue that infiltrates the wall of the uterus whereas external endometriosis is growth of endometrial tissue outside uterine cavity. Endometriosis mainly affects up to 10% of women in the reproductive years [2].

The most common sites for extrauterine endometriosis are ovaries (54.9%), broad ligament (35.2%), anterior cul-de sac (34.67%), and posterior cul-de sac (34%) [3]. Involvement of the gastrointestinal (GI) tract varies from 3% to 37% of patients with pelvic endometriosis with rectosigmoid being the most common area (72%), followed by rectovaginal septum (13%) and appendix (3%) [4].

The most common symptoms for endometriosis include dysmenorrhea followed by chronic nonmenstrual lower abdominal pain [5]. Other symptoms include deep dyspareunia, bilateral iliac fossa pain, infertility, cyclical symptoms with or without abnormal bleeding. Endometriosis of the appendix has similar presentation, however, there have been cases that reported melena, lower GI bleed, and intussusception [3]. In some presentation of external endometriosis, there have been cases of endometriotic nodule noted in vulva, perineum, laparotomy scar, and umbilicus that grow during menstrual cycle [1].

There are many theories to explain how endometriosis caused extrauterine involvement but the common one includes Sampson’s theory which explained that retrograde menstruation causes viable fragments of endometrium into pelvic cavity and later transplant on to the surrounding organs to proliferate into endometriosis [6]. The other theory that is commonly used is the coelomic metaplasia theory whereby the peritoneal cavity contains progenitor cells capable of differentiating into endometrial tissue [7]. Acute inflammation of the appendix happens when there is partial or complete luminal occlusion in the appendix by endometrioma or when there is an endometrial tissue in the seromuscular layer of the appendix which hemorrhage and caused the appendix to be edematous which eventually leads to inflammation [7].

No specific blood test has been known to diagnosed endometriosis. Laparoscopy is considered to be the gold standard by direct visualization of the pelvis with ultrasound detecting severe forms of the disease. Endometriosis typically appears as black or bluish puckered lesions or nodules, sometimes even as subtle lesions such as red implants or even white plaques and yellow brown peritoneal discoloration in the peritoneum [2].

Management of endometriosis of the appendix depends on presentation with symptomatic cases presenting with pain the most common indication for surgical treatment [8]. The treatment of the endometriosis of the appendix is appendectomy, right hemicolectomy, or ileocecectomy [3]. Careful examination of the abdominal cavity is required after that to assess the extent of the endometriosis involvement with possible multidisciplinary team approach if other organs are involved [3].

The European Society of Human Reproduction and Embryology (ESHRE) guidelines 2014 suggest that there are limited evidence in the treatment options for extragenital endometriosis as main publications are case reports with level D evidence [9]. Regarding incidental findings of endometriosis during laparoscopic surgery, Society of Obstetricians and Gynaecologists of Canada (SOGC) clinical practice guidelines recommend that asymptomatic patients with incidental findings of endometriosis during surgery will not need any further surgery to remove it [10]. However, ovarian endometriosis that is more than 3 cm in diameter with pelvic pain should be excised if possible. In our case above, we were able to get the gynecology teams input prior to the surgery and a discussion was done between the team and the patient on the best possible way to deal with the ovarian endometriosis before she had the laparoscopic surgery.

Conclusion


Endometriosis of the appendix is a rare occurrence, however, it is essential to be aware of the potential of it being a differential diagnosis in female of childbearing age that present with right iliac fossa. We would recommend surgical management of patient with symptomatic endometriosis of the appendix. Regardless whether the diagnosis of endometriosis is made preoperatively or intraoperatively, the gynecology team should be involved early especially when there is suspicion of involvement of the female reproductive organ.

REFERENCES


1.

Emre A, Akbulut S, Yilmaz M, Bozdag Z. An unusual cause of acute appendicitis: Appendiceal endometriosis. Int J Surg Case Rep 2013;4(1):54–7. [CrossRef] [Pubmed]   Back to citation no. 1  

2.

Williams NS, Bulstrode CJK, O’Connell PR. Bailey & Love’s Short Practice of Surgery. 26ed. Boca Raton, FL: CRC Press; 2012.   Back to citation no. 1  

3.

Saleem A, Navarro P, Munson JL, Hall J. Endometriosis of the appendix: Report of three cases. Int J Surg Case Rep 2011;2(2):16–9. [CrossRef] [Pubmed]   Back to citation no. 1  

4.

Adeboye A, Ologun GO, Njoku D, Miner J. Endometriosis of the vermiform appendix presenting as acute appendicitis. Cureus 2019;11(10):e5816. [CrossRef] [Pubmed]   Back to citation no. 1  

5.

Gupta R, Singh AK, Farhat W, et al. Appendicular endometriosis: A case report and review of literature. Int J Surg Case Rep 2019;64:94–6. [CrossRef] [Pubmed]   Back to citation no. 1  

6.

Huffman JW. External endometriosis. Am J Obstet Gynecol 1951;62(6):1243–52. [CrossRef] [Pubmed]   Back to citation no. 1  

7.

Laskou S, Papavramidis TS, Cheva A, et al. Acute appendicitis caused by endometriosis: A case report. J Med Case Rep 2011;5:144. [CrossRef] [Pubmed]   Back to citation no. 1  

8.

Rao S, Singh N, Singh SK, Huda F. Appendiceal endometriosis: A rare cause of pain and tenderness in Mc Burney’s point. Ann Med Health Sci Res 2018;8:89–92.   Back to citation no. 1  

9.

Dunselman GA, Vermeulen N, Becker C, et al. ESHRE guideline: Management of women with endometriosis. Hum Reprod 2014;29(3):400–12. [CrossRef] [Pubmed]   Back to citation no. 1  

10.

Leyland N, Casper R, Laberge P, et al. SOGC clinical practice guideline. Endometriosis: Diagnosis and management. J Obstet Gynecol Can 2010;32(7 Suppl 2):S1–3. [CrossRef] [Pubmed]   Back to citation no. 1  

SUPPORTING INFORMATION


Author Contributions

Bertrand Ng Ren Joon - Conception of the work, Design of the work, Acquisition of data, Analysis of data, Drafting the work, Revising the work critically for important intellectual content, Final approval of the version to be published, Agree to be accountable for all aspects of the work in ensuring that questions related to the accuracy or integrity of any part of the work are appropriately investigated and resolved.

Rouzbeh Jahangiri - Conception of the work, Design of the work, Revising the work critically for important intellectual content, Final approval of the version to be published, Agree to be accountable for all aspects of the work in ensuring that questions related to the accuracy or integrity of any part of the work are appropriately investigated and resolved.

Acknowledgments

University of Queensland, Australia.

Guarantor of Submission

The corresponding author is the guarantor of submission.

Source of Support

None

Consent Statement

Written informed consent was obtained from the patient for publication of this article.

Data Availability

All relevant data are within the paper and its Supporting Information files.

Conflict of Interest

Authors declare no conflict of interest.

Copyright

© 2020 Bertrand Ng Ren Joon et al. This article is distributed under the terms of Creative Commons Attribution License which permits unrestricted use, distribution and reproduction in any medium provided the original author(s) and original publisher are properly credited. Please see the copyright policy on the journal website for more information.