Case Report


Surgical considerations for tension hydrothorax in primary mediastinal B-cell lymphoma: A case report

,  ,  ,  

1 OMS-III, University of New England, College of Osteopathic Medicine, 11 Hills Beach Road, Biddeford, ME, USA

2 Eastern Connecticut Health Network, Department of Surgery, Manchester, CT, USA

Address correspondence to:

Cassidy Cunningham

MS, University of New England, College of Osteopathic Medicine, 11 Hills Beach Road, Biddeford, ME 04005,

USA

Message to Corresponding Author


Article ID: 100082Z12CC2021

doi:10.5348/100082Z12CC2021CR

Access full text article on other devices

Access PDF of article on other devices

How to cite this article

Cunningham C, Addonizio E, Daly A, Constantinou C. Surgical considerations for tension hydrothorax in primary mediastinal B-cell lymphoma: A case report. J Case Rep Images Surg 2021;7:100082Z12CC2021.

ABSTRACT


Introduction: Large pleural effusions can rarely lead to respiratory distress and mediastinal shift, indicating the presence of a tension hydrothorax, which requires immediate surgical intervention. Primary mediastinal B-cell lymphoma (PMBL) typically presents as a mass in the anterior mediastinum. Tension hydrothorax in PMBL has not been well documented in the published literature.

Case Report: A previously healthy 28-year-old female presented to the emergency department (ED) with tachycardia and increasing shortness of breath over three weeks. Imaging revealed a mediastinal mass and tension hydrothorax resulting in a severe mediastinal shift. Pathology of the mass was consistent with PMBL. The patient had a prolonged hospital course, which included severe neutropenia, pulmonary embolisms, prolonged partial thromboplastin time, and continuous drainage of the pleural fluid. The patient was discharged home and is being followed and treated by medical oncology.

Conclusion: While PMBL can present with pleural effusion, it does not typically accumulate to the degree seen in this patient and result in a tension hydrothorax. Due to the tension hydrothorax and mediastinal mass, the patient had significant risk for cardiopulmonary collapse and was evaluated urgently by surgery. A major consideration of the surgical team was prevention of re-expansion pulmonary edema while reducing enough fluid to stabilize the patient. Weighing the risks of the procedures and the instability of the patient, the surgeon elected to treat with emergent thoracoscopy and chest tube placement in the operating room (OR) instead of interventions in the ED as this was the safest option.

Keywords: Chest tube, Hydrothorax, Mediastinal neoplasm (Source: MeSH-NLM)

Introduction


In the presence of large pleural effusions, respiratory distress and mediastinal shift can often occur; however, rarely does a pleural effusion accumulate in amounts significant enough to compress the mediastinum with minimal symptoms [1]. Tension hydrothorax occurs when pleural effusions are large enough to cause a severe mediastinal shift. The presence of a tension hydrothorax indicates the need for immediate surgical intervention and therapy [1]. Tension hydrothorax is a rare and life-threatening complication of multiple disease states. These include small cell lung cancer [2], breast cancers [3], liver diseases [4], disseminated endometriosis [5],and as a complication of central venous catheterization [6]. Tension hydrothorax can have severe consequences, including cardiac tamponade, respiratory changes, and circulatory collapse that can be irreversible and fatal.

Tension hydrothorax in primary mediastinal B-cell lymphoma (PMBL) has not been well documented in the published literature. Primary mediastinal B-cell lymphoma is an uncommon diagnosis typically present in the anterior mediastinum as a tumor that can be as large as 10 cm in size [7]. It can frequently invade local structures in the mediastinum and present with a pleural or pericardial effusion [7]. However, rarely does a large amount of fluid accumulate to the extent of causing a tension hydrothorax. This unique presentation of PMBL demonstrates a greater understanding of an additional disease state in which this rare and life-threatening complication can occur.

Case Report


A 28-year-old Caucasian female presented to the emergency department (ED) with a chief complaint of “feeling poorly” for three weeks with increasing shortness of breath and pleuritic chest pain that had worsened in intensity over the previous few days. The patient denied any cough, fever, chills, or sputum production. Past medical history was significant for asthma, well-controlled with albuterol. Family history was significant for breast cancer, large intestinal cancers, lung cancers, in addition to thyroid disease, coronary artery disease, and diabetes. The patient had no exposure to asbestos or any chemicals.

Physical exam revealed the patient in moderate distress, tachypneic, with pallor and malaise. Vital signs were blood pressure 137/96 mmHg, heart rate 149, respiratory rate 31 bpm, temperature 98.1°F, oxygen saturation was 97% on 2 liters per minute (L/min) of oxygen by nasal cannula. The patient began decompensating while being transferred to higher level of care and was titrated up to 6 L/min. Pertinent exam findings included: tracheal deviation to the right; absent breath sounds on the left and tachypneic on the right without any adventitious sounds or rubs; and significant dullness to percussion throughout the left lung. The cardiovascular exam revealed S1, S2 audible, and tachycardic. The breast exam revealed no palpable axillary lymph nodes or masses.

On the first day of hospital presentation, imaging in the ED included chest radiograph (CXR) (Figure 1) and computed tomography (CT) (Figure 2). Imaging revealed a mediastinal mass measuring 10 × 12 × 15 cm with a heterogeneous composition, along with a severe tension hydrothorax and mediastinal shift to the right with a massive left-sided pleural effusion.

The patient underwent emergent chest tube placement with thoracoscopy. Adhesions were found seeding the right thoracic cage and adhering to the collapsed lung. Biopsy and lysis of adhesions allowed for lung re-expansion. Thoracoscopy allowed for drainage of 3700 mL of serosanguinous fluid under pressure from the left thorax, with an additional 220 mL drained in the hours following the surgery. Chest radiograph was obtained immediately after chest tube placement (Figure 3) to verify the positioning and severity of mediastinal shift and repeated on postoperative day (POD) 1. Computed tomography imaging on POD 4 revealed an increase in the mass’s size measuring 14.3 × 11.5 × 15.7 cm (Figure 4). Imaging also revealed a persistent but decreased mediastinal shift to the right with a hydrothorax. During the patient’s one-month admission, total drainage from the chest tubes totaled 15.929 liters of serosanguinous fluid.

Pathology of adhesions revealed non-indolent large B-cell lymphoma with features most in keeping with PMBL obtained through excisional biopsy of the soft tissue on the thoracic wall. Microscopic evaluation revealed sheets of atypical lymphoid proliferation comprised of pleomorphic large lymphoid cells with moderate to abundant cytoplasm and irregularly shaped nuclei with variable chromatin. Tumor cells were reactive with CD20, PAX5, CD10, bcl-6, MUM-1, bcl-2, c-myc, CD45, CD23, MAL, and CD30. Proliferation index was approximately 70% by Ki-67 immunostaining. Pathology examination of pleural fluid revealed hypocellular fluid consisting predominantly of small, mature lymphocytes, scattered histiocytes, and mesothelial cells. The sample was negative for intracellular mucin.

The postoperative course was complicated by multiple subsegmental pulmonary emboli on POD 4 involving all lobes of the right lung, with no evidence of right heart strain at that time. The patient subsequently received a heparin infusion and a bilateral venous Doppler ultrasound. With no evidence of deep vein thrombosis, the patient’s hypercoagulable state, secondary to lymphoma diagnosis, most likely caused pulmonary emboli formation. Computed tomography of the abdomen and pelvis was completed on POD 4 to examine for metastases. Imaging revealed several enlarged para-aortic lymph nodes at the level of the renal vascular pedicle and close to the left diaphragmatic crus, but no masses.

Portacath was placed on POD 5 to initiate the medical management of the PMBL diagnosis. While in the surgical intensive care unit, the chemotherapy regimen consisted of cyclophosphamide, doxorubicin, etoposide, vincristine, and rituximab (R-EPOCH), along with the addition of prednisone, allopurinol, and rasburicase for tumor lysis syndrome prophylaxis.

Placement of a PleurX drainage catheter (Becton, Dickinson and Company, 1 Becton Drive, Franklin Lakes, NJ) was complicated and delayed secondary to grade 4 neutropenia at 0.4 K/uL on POD 16. Partial thromboplastin time (PTT) was significantly increased from 28 seconds on the morning of POD 22 to 162 seconds 10 hours later. Partial thromboplastin time remained elevated until POD 24, and heparin was discontinued and switched to Eliquis.

The patient was discharged home on POD 26 to continue oncology management and continued drainage of the pleural fluid through the PleurX drainage catheter.

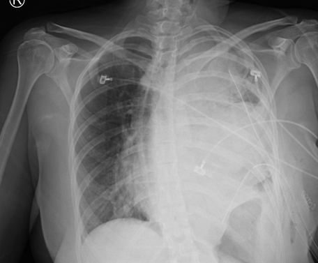
Figure 1: Posteroanterior (PA) chest radiograph (CXR) imaging upon arrival to the emergency department prior to emergent thoracoscopy. Imaging revealed complete opacification of the left hemithorax that was revealed to be a mediastinal mass 10 × 12 × 15 cm with heterogenous composition and a severe tension hydrothorax with massive left-sided pleural effusion and severe mediastinal shift to the right.

Share Image:

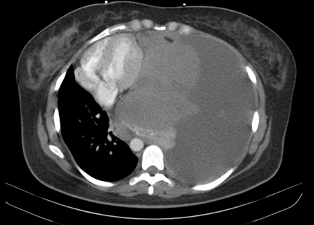
Figure 2: Computed tomography (CT) imaging of the chest upon arrival to the emergency department that revealed a severely abnormal examination prior to emergent thoracoscopy. Imaging revealed mediastinal mass 10 × 12 × 15 cm with heterogenous composition and a severe tension hydrothorax with massive left-sided pleural effusion and severe mediastinal shift to the right by approximately 7–10 cm. Pleural effusion extended inferiorly into the abdomen resulting in mass effect on the visualized liver, pancreas, and left kidney.

Share Image:

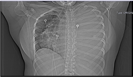
Figure 3: Chest radiograph (CXR) imaging immediately following emergent exploratory thoracoscopy. Persistent but slightly less prominent mediastinal shift to the right is present. Mild subcutaneous air is noted along left chest wall, but no pneumothorax was appreciated.

Share Image:

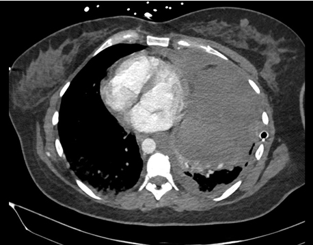
Figure 4: CT imaging of the chest on post-operative day (POD) 4 revealed subsegmental pulmonary emboli involving all lobes of the right lung with no evidence for heart strain. Improved aeration of left lung is seen. Large mediastinal mass now measuring approximately 14.3 × 11.5 × 15.7 cm noted occupying much of the left hemithorax with resultant mediastinal shift right from mass effect. Two surgical chest tubes are in place with left-sided hydropneumothorax.

Share Image:

Discussion


Two critical effects can occur when a large amount of fluid accumulates in the mediastinum. The first effect is a mediastinal shift, which results in the compression and collapse of the lung. This effect can cause hypoventilation and respiratory acidosis. The second is the inhibition of central venous return resulting from the pleural fluid’s increased pressure on the heart and the great vessels. The decrease in central venous return leads to decreased cardiac output, metabolic acidosis, and, ultimately, circulatory collapse if not corrected [1]. The patient was at risk for these two complications.

The urgency of the patient’s condition was prioritized when forming the treatment plan due to the patient’s unstable respiratory status on arrival to the ED. Three procedures were considered for the emergent treatment of the patient’s hydrothorax: thoracocentesis in the ED, chest tube placement in the ED, and chest tube placement and thoracoscopy in the operating room (OR). The surgeon and the medical team deliberated the risks and benefits of anesthesia and surgery. There was a significant concern that the patient would not resume spontaneous respirations postoperatively and would require ventilatory support, as the patient was in critical condition. The risk of cardiopulmonary collapse from the tension hydrothorax was a greater risk to the patient than the potential need for ventilatory support. Thoracoscopy and chest tube placement in the OR, with patient monitoring in a controlled environment, were the safest interventions.

Anesthesia had reservations for intubation due to the risk of possible irreversible airway compression by the mediastinal mass. In the setting of airway compression, a rigid bronchoscope would be required to secure the airway [8],[9]. The patient was successfully intubated and induced with propofol, midazolam, and fentanyl. No neuromuscular blocking agents were administered in anticipation of possible airway collapse requiring intraoperative ventilation. Endotracheal intubation was patent throughout the procedure and the secure airway did not require the bronchoscope.

By choosing to intervene in the OR, the surgeon could determine the amount of fluid present and control the amount of fluid removed. Re-expansion pulmonary edema can occur if too much fluid is drained at once, while the persistence of the mediastinal shift can occur if too little fluid is drained. Rapid drainage of the pleural fluid quickly re-expands the collapsed lung, leading to a reduced pressure throughout the thorax. With compression, there is a thickening of the pulmonary capillary endothelium and basement membranes, which leads to a decrease in the flexibility of the pulmonary capillaries. Re-expansion pulmonary edema can subsequently result due to damage of the pulmonary microvasculature, lymphatic flow disruption, and further pulmonary injury due to anoxia, mechanical stress, and decreased surfactant in the alveoli [10]. The entirety of the pleural effusion was not removed during surgery to prevent re-expansion pulmonary edema. Thoracocentesis and chest tube placement in the ED posed a severe risk for re-expansion pulmonary edema. Additionally, thoracocentesis would not allow for continuous drainage of the pleural fluid, while chest tube placement in the ED would not guarantee a successful resolution of the tension hydrothorax.

In a stable patient, another option would be to treat the underlying lymphoma directly to decrease fluid production and allow the body to resolve the pleural effusion. However, the primary treatment of lymphoma would not provide an immediate decompression of the patient’s hydrothorax and would further increase the risk of cardiopulmonary collapse. The patient’s residual pleural fluid continued to increase due to ongoing fluid production by the mediastinal lymphoma [7] requiring continuous suction with a water seal for approximately one-month postoperatively. The surgical team monitored the pleural fluid drainage with serial CXRs and CTs, as these methods were most readily available. However, another method that could be considered in future cases is thoracic and lung ultrasound. Ultrasound has advantages over CXRs and CTs in serial monitoring in that it can be done at the patient bedside, involves no radiation, and is a proven method used to diagnose other compressed lung states, including a pneumothorax [11]. Regardless of the type of imaging used, continuous chest tube suctioning allowed for resolution of the patient’s mediastinal shift, tension hydrothorax, and, subsequently, tachycardia.

Conclusion


With emergent thoracoscopy and chest tube placement in the OR, resolution of the mediastinal shift was obtained and major risks including re-expansion pulmonary edema were avoided. Although a rare presentation of PMBL, in treating a tension hydrothorax it is important for the surgical team to consider how tumor burden can intensify and contribute to the instability of the patient. Tension hydrothorax increases one risk for cardiopulmonary collapse and failure of the airway. It is important for the treatment team to manage these patients under acute observation to avoid such risks. As this has not been documented in the literature, this case presentation can provide an outline of the surgical considerations for managing tension hydrothorax and improving patient outcomes.

REFERENCES


1.

Rabinov K, Stein M, Frank H. Tension hydrothorax—an unrecognized danger. Thorax 1966;21(5):465–7. [CrossRef] [Pubmed]   Back to citation no. 1  

2.

Porter ED, Finley DJ, Phillips JD. Tension hydrothorax secondary to small cell lung cancer. Respirol Case Rep 2019;7(5):e00420. [CrossRef] [Pubmed]   Back to citation no. 1  

3.

Dagrosa RL, Martin JF, Bebarta VS. Tension hydrothorax. J Emerg Med 2009;36(1):78–9. [CrossRef] [Pubmed]   Back to citation no. 1  

4.

Yaylali YT, Nassar NK, Manthous CA. Tension hydrothorax. South Med J 1997;90(11):1156–8. [CrossRef] [Pubmed]   Back to citation no. 1  

5.

Deal A, Evans D, Counselman FL. Tension hydrothorax from disseminated endometriosis. West J Emerg Med 2016;17(1):88–90. [CrossRef] [Pubmed]   Back to citation no. 1  

6.

Mohammed AH, Tonkin L, Jerwood C. Tension hydrothorax: A near-fatal complication of central venous catheterization. J Cardiothorac Vasc Anesth 2005;19(4):512–5. [CrossRef] [Pubmed]   Back to citation no. 1  

7.

Martelli M, Ferreri A, Di Rocco A, Ansuinelli M, Johnson PWM. Primary mediastinal large B-cell lymphoma. Crit Rev Oncol Hematol 2017;113:318–27. [CrossRef] [Pubmed]   Back to citation no. 1  

8.

Erdös G, Kunde M, Tzanova I, Werner C. Anaesthesiological management of mediastinal tumors. Anaesthesist 2005;54(12):1215–28. [CrossRef] [Pubmed]   Back to citation no. 1  

9.

Gardner JC, Royster RL. Airway collapse with an anterior mediastinal mass despite spontaneous ventilation in an adult. Anesth Analg 2011;113(2):239–42. [CrossRef] [Pubmed]   Back to citation no. 1  

10.

Sohara Y. Reexpansion pulmonary edema. Ann Thorac Cardiovasc Surg 2008;14(4):205–9. [Pubmed]   Back to citation no. 1  

11.

Constantin V, Carap AC, Zaharia L, et al. High correlation of lung ultrasound and chest X-ray after tube drainage in patients with primary spontaneous pneumothorax: Can we omit X-rays for tube management? Eur Surg 2015;47:175–80. [CrossRef]   Back to citation no. 1  

SUPPORTING INFORMATION


Author Contributions

Cassidy Cunningham - Conception of the work, Design of the work, Acquisition of data, Drafting the work, Revising the work critically for important intellectual content, Final approval of the version to be published, Agree to be accountable for all aspects of the work in ensuring that questions related to the accuracy or integrity of any part of the work are appropriately investigated and resolved.

Elyse Addonizio - Conception of the work, Design of the work, Acquisition of data, Drafting the work, Revising the work critically for important intellectual content, Final approval of the version to be published, Agree to be accountable for all aspects of the work in ensuring that questions related to the accuracy or integrity of any part of the work are appropriately investigated and resolved.

Allyson Daly - Conception of the work, Design of the work, Acquisition of data, Drafting the work, Revising the work critically for important intellectual content, Final approval of the version to be published, Agree to be accountable for all aspects of the work in ensuring that questions related to the accuracy or integrity of any part of the work are appropriately investigated and resolved.

Constantinos Constantinou - Acquisition of data, Drafting the work, Revising the work critically for important intellectual content, Final approval of the version to be published, Agree to be accountable for all aspects of the work in ensuring that questions related to the accuracy or integrity of any part of the work are appropriately investigated and resolved.

Acknowledgments

We thank Dr. Carol Brenner and Diane Labbe (University of New England, College of Osteopathic Medicine Research) in providing us with the information, resources, and mentorship needed to write this manuscript and submit for publication.

Guarantor of Submission

The corresponding author is the guarantor of submission.

Source of Support

None

Consent Statement

Written informed consent was obtained from the patient for publication of this article.

Data Availability

All relevant data are within the paper and its Supporting Information files.

Conflict of Interest

Authors declare no conflict of interest.

Copyright

© 2021 Cassidy Cunningham et al. This article is distributed under the terms of Creative Commons Attribution License which permits unrestricted use, distribution and reproduction in any medium provided the original author(s) and original publisher are properly credited. Please see the copyright policy on the journal website for more information.