Clinical Image


A rare case of incarcerated Littre incisional hernia

,  ,  

1 Division of General Surgery, Neuchatel Pourtales Hospital, Neuchatel, Switzerland

Address correspondence to:

Eleftherios Gialamas

MD, MSc, Department of Surgery, Neuchatel Pourtales Hospital, Rue de la Maladiere 45, 2000, Neuchatel,

Switzerland

Message to Corresponding Author


Article ID: 100098Z12EG2022

doi:10.5348/100098Z12EG2022CI

Access full text article on other devices

Access PDF of article on other devices

How to cite this article

Gialamas E, Dwidar O, Worreth. A rare case of incarcerated Littre incisional hernia. J Case Rep Images Surg 2022;8:100098Z12EG2022.

ABSTRACT


No Abstract

Keywords: Incarcerated hernia, Incisional hernia, Littre hernia

Case Report


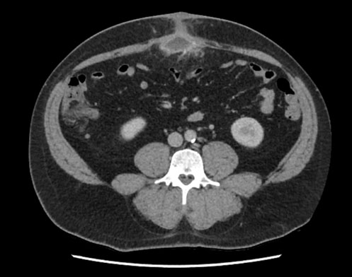
An 85-year-old female patient presented to the emergency unit with a 3-day history of abdominal pain, vomiting, and constipation. She had a medical history of Alzheimer’s disease, hypertension and a midline laparotomy for perforated ulcer 30 years ago. Physical examination revealed diffuse abdominal tenderness with an incarcerated sub-umbilical bulge on the midline incision. Abdominal computed tomography scan confirmed the presence of an incarcerated incisional hernia containing a portion of the small bowel (Figure 1). The patient undergone emergency laparotomy. Small bowel resection followed by anastomosis was performed (Figure 2) and the abdominal wall was repaired by herniorrhaphy without mesh. Histopathologic analysis of the specimen showed a necrotic Meckel diverticulum without malignancy. Postoperative course was uneventful and the patient presented no hernia recurrence at the 6-month follow-up control.

Figure 1: Abdominal computed tomography, in axial (A) and sagittal plane (B), showing the incarcerated incisional hernia containing small bowel (arrows).

Share Image:

Figure 2: Intra-operative photo of the resected small bowel segment. The arrow shows the Meckel diverticulum.

Share Image:

Discussion


Littre hernia, first described by the French surgeon Alexis Littré, is a rare entity and includes all hernias containing a Meckel diverticulum [1]. Although its most frequent localization is the inguinal canal, it can be also present as a femoral or umbilical hernia, and rarely, localized in ancient surgical sites [2],[3]. Sometimes, it may be complicated by strangulation and need urgent surgical treatment. This is a rare case of incarcerated incisional Littre hernia that required urgent surgery. In most cases, diagnosis is established during operation, after exploration of the hernia sac.

Conclusion


The image presents a rare case of an incarcerated incisional hernia containing the Meckel diverticulum (Littre hernia), which is most frequently found in the inguinal canal. The importance of this case is the rare localization of this type of hernia, as an incarcerated incisional hernia.

REFERENCES


1.

Ahmed M, Elkahly M, Gorski T, Mahmoud A, Essien F. Meckel’s diverticulum strangulation. Cureus 2021;13(5):e14817. [CrossRef] [Pubmed]   Back to citation no. 1  

2.

Pinto J, Viana CM, Pereira A, Falcão J. Littré’s hernia. BMJ Case Rep 2019;12(2):e228784. [CrossRef] [Pubmed]   Back to citation no. 1  

3.

Schizas D, Katsaros I, Tsapralis D, et al. Littre’s hernia: A systematic review of the literature. Hernia 2019;23(1):125–30. [CrossRef] [Pubmed]   Back to citation no. 1  

SUPPORTING INFORMATION


Author Contributions

Eleftherios Gialamas - Conception of the work, Design of the work, Drafting the work, Revising the work critically for important intellectual content, Final approval of the version to be published, Agree to be accountable for all aspects of the work in ensuring that questions related to the accuracy or integrity of any part of the work are appropriately investigated and resolved.

Oliver Dwidar - Conception of the work, Design of the work, Drafting the work, Revising the work critically for important intellectual content, Final approval of the version to be published, Agree to be accountable for all aspects of the work in ensuring that questions related to the accuracy or integrity of any part of the work are appropriately investigated and resolved.

Marc Worreth - Conception of the work, Design of the work, Drafting the work, Revising the work critically for important intellectual content, Final approval of the version to be published, Agree to be accountable for all aspects of the work in ensuring that questions related to the accuracy or integrity of any part of the work are appropriately investigated and resolved.

Guarantor of Submission

The corresponding author is the guarantor of submission.

Source of Support

None

Consent Statement

Written informed consent was obtained from the patient for publication of this article.

Data Availability

All relevant data are within the paper and its Supporting Information files.

Conflict of Interest

Authors declare no conflict of interest.

Copyright

© 2022 Eleftherios Gialamas et al. This article is distributed under the terms of Creative Commons Attribution License which permits unrestricted use, distribution and reproduction in any medium provided the original author(s) and original publisher are properly credited. Please see the copyright policy on the journal website for more information.